天津市海德堡联合口腔医院

重新定义德国种植牙标准 | UNIC全息数字化智能种植

接诊时间:08:00-17:30

预约咨询热线:022-58969998

首页 > 牙齿种植 > 美学修复 >

16/09/2019

NEWS
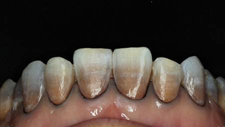
天津美白烟渍牙需要多久时间?

       吸烟会导致很多小伙伴牙齿发黄发黑等等,长期吸烟不注意口腔清洁,很容易造成牙齿变色的烟渍牙。想让牙齿变白不能着急,牙齿美白的办法很多,具体要看牙齿的具体情况而定。 

       
       影响烟渍牙美白时间的因素
       
       一.主要看患者的茶渍牙情况及选择医院:
       
       (1)烟渍牙分轻重着色,所以在美白时间和难度上就会有差距。重度烟渍牙症状复杂,清洗难度较大,所以花费的时间也较长。
       
       (2)就诊医院情况不同,小型诊所美白烟渍牙可能就简单洗个牙,时间短效果差。

       茶渍牙美白方法哪种时间快
  
       二.主要看患者的茶渍牙情况及选择技术:
       
       (1)轻度的茶渍牙,一般采用洗牙的方式。超声波洁牙,治疗只要半小时左右,不会伤害牙齿。
       
       (2)中重度茶渍牙,一般采用蓝光美白的方式。可以针对单颗牙齿进行美白处理。

TEL / 022-58969998