天津市海德堡联合口腔医院

重新定义德国种植牙标准 | UNIC全息数字化智能种植

接诊时间:08:00-17:30

预约咨询热线:022-58969998

首页 > 牙齿种植 > 美学修复 >

14/02/2020

NEWS
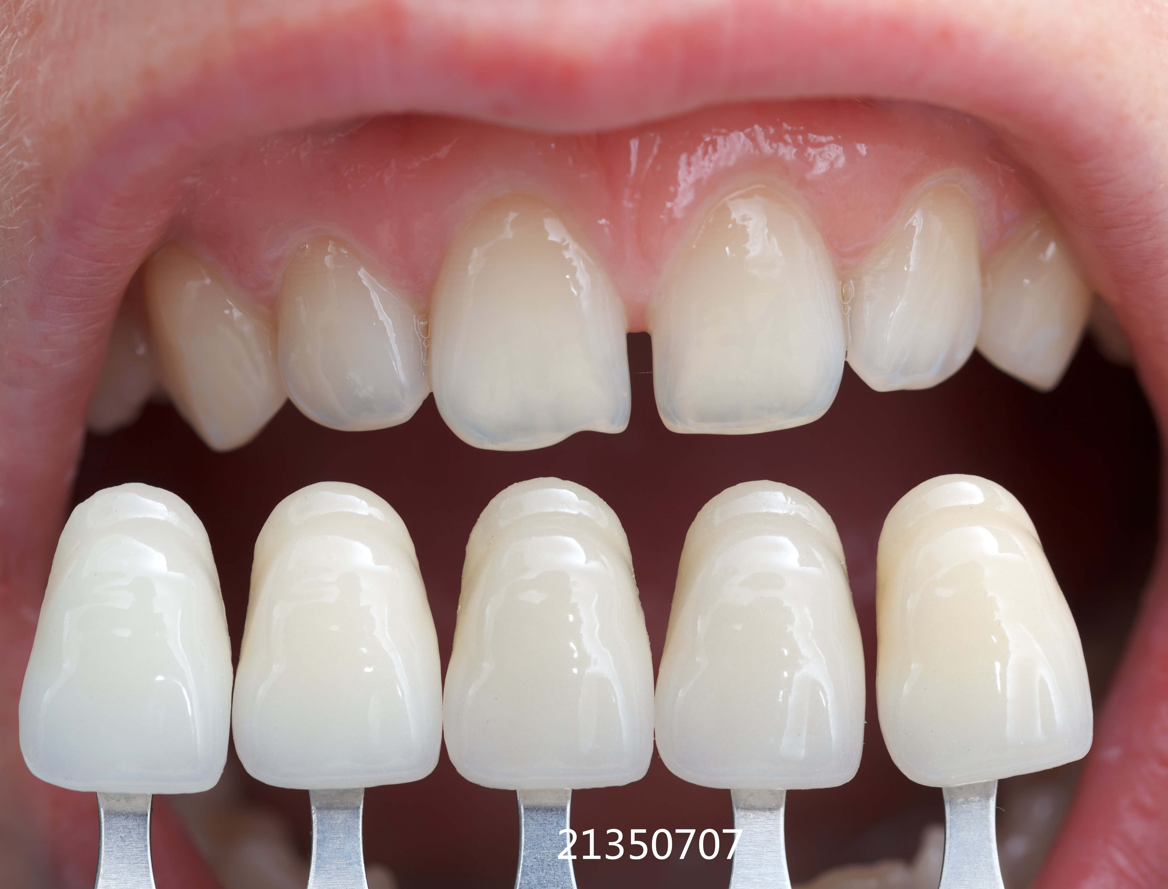
牙齿贴面会不会导致嘴凸?

       唇红齿白、朱唇皓齿、齿如含贝…… 无论什么时候 我们都没有停止过对美的追求 牙齿不够白、不够美,只要牙医给你“简单”一贴,就可以体验唇红齿白了。牙齿贴面这么神奇,可是又有问题要纠结了!就有朋友问道:牙齿贴面会不会导致嘴凸?对个人的形象产生影响?
 
       关于这一点,其实各位爱美人士大可放心,做牙齿贴面不会导致嘴凸的。首先牙齿贴面本身非常的薄,厚度仅为0.2mm,贴在牙齿表面从外表看不会与真牙有任何区分,而且经过专业牙齿美容师的咬合调整,在口腔内也感觉不到一点的异物感,更不会造成牙齿突出或是嘴变凸。

       牙齿贴面看似简单,只需要将贴面粘贴在牙齿表面即可,但实际上其间的科技技术、专业知识和经验手法,都是十分重要的。牙齿贴面在制作时,需要根据牙齿的宽、高比的黄金比例进行个私人订制,还要考虑牙齿基牙的颜色,牙龈、牙周的情况,用户的美学愿望等。只有专业的牙齿美容师才能兼顾美观、咬合、笑线和密合性等问题。

       当然了,牙齿贴面在口腔内部的状态,也与用户后期对口腔的护理有直接的联系,比如牙齿贴面具体可以维持多长时间要看大家口腔护理程度。简单一句话来说,凡是会造成牙齿、嘴部变凸的牙齿贴面,一定是缺乏专业知识和实操训练的“赶鸭子上架式”的牙科医生,专业的牙科医生一定不会容忍这样的贴面出现在自己的手中。

       

       做牙贴面会不会伤害牙齿。将要修复的牙齿均匀地磨去薄薄的一层,磨去的只是牙体硬组织,而且很薄,不会伤及到牙本质,以及牙齿内部敏感组织。是在磨损最小的范围内,最大程度地给你改变!
磨牙的目的,是为了让贴面跟原牙更加契合。磨完后很快就能粘结上贴面,将磨牙的地方保护了起来。

       但是,选择牙贴面后更应了解的注意事项:
 
       1、需避免冷热饮,避免饮用茶、咖啡、可乐、红酒、莓果类饮料。

       2、有色牙膏、漱口水等及食用深色食物,牙齿美白后避免吸收更多色素。
 
       3、一星期内,不吃容易染色的食物,比如麻辣火锅、咀嚼槟榔等。
 
       4、如有吸烟习惯的,至少要戒烟一星期。

       5、避免吃硬壳类食物,开啤酒盖。

       6、平时多摄取牛奶,鸡蛋,苹果,胡萝卜,等蔬菜水果对牙齿有益的食物。

       7、做完牙齿后,有一部分人会有所不适,比如:牙齿怕凉或牙龈发热,不过这种状况会在短时间内消失,建议治疗后24小时内避免冷热饮等刺激性食物。

       

       总而言之,牙齿贴面不会造成牙齿突出或是嘴变凸。但是在做牙贴面之前,一定要选择专业的医院,和专业的医生,这样才能保证效果。

 

TEL / 022-58969998