天津市海德堡联合口腔医院

重新定义德国种植牙标准 | UNIC全息数字化智能种植

接诊时间:08:00-17:30

预约咨询热线:022-58969998

首页 > 牙齿种植 >

16/08/2021

NEWS
七夕特辑 | 他们的爱情,在平淡的每一餐饭里,也在每一口咀嚼的幸福里
每年七夕,我们都会被美好的爱情故事刷屏,好像拥有一段轰轰烈烈的爱情是每个人青年时对爱情的最高向往。
       我们希望“执子之手,与子偕老”不仅仅是一句情话,而是爱情的一个状态。
 

       所以我们在意着每一个和爱情有关的节日,我们也自己会遇到那样一个人。
 


       海德堡联合口腔医院「真实故事计划」,
       我们将采访100位海德堡医院的真实患者,
       没脚本、不煽情、只记录,
       和他们聊一聊他们的故事。
 

       本期的主人公——巩若城与吴宝华夫妇
       我们来听听看,他们对爱情的理解。
 

 

       叔叔阿姨今年60岁,结婚35年,和我们父母一般大的年纪,他们羞于表达,没有许下过山盟海誓的诺言。
 

       从对感情懵懂无知的少男少女,一路携手走过了人生中的风风雨雨。
 

       他们可能从来都没有对彼此说过一句“我爱你”,但是他们只要坐在一起,总能让人看到他们的爱。
 

       平淡,却也很幸福。我们一起来看看他们的故事~
 
01.35℃的爱情,最解渴
 

       没有电视剧里浪漫的桥段、没有轰轰烈烈的誓言、他们的爱情从一开始,好像就是35℃的。
 

       35℃的温水,可以说是最日常的饮料。这个温度最贴近人的体温,不惊艳,但是解渴。
 

       35℃的爱情是什么样子呢?
 

       他们相识于学生时代,叔叔是全脱产学习,阿姨半脱产学习,学生时代的爱情是简单的,彼此眼中看到的都是最真实的彼此。
 

       叔叔在阿姨眼中”有责任感,最爱帮助人,有爱心,手很巧。“
 

       阿姨在叔叔眼中“爱笑、很热心、永远不争不抢,一个人默默努力,小小的身躯里,好像有一种莫名其妙的韧劲。”
 


       说起来,阿姨还有些不好意思,他们之间,是阿姨先表白的那个人。
 

       而这个“傻乎乎”的男生,在回忆这段时间时,“当时哪懂这些啊,情情爱爱的事情,不懂”。
 

       好像什么也没想,好像又什么都想了,两个人彼此体谅,互相交流,慢慢的也就走到了一起。
 

       在25岁的时候,他们结婚了。
 

       回忆起结婚这件事,他们的回答,特别可爱,“那时候对结婚也是没有什么概念的,父母觉得两个人交往情况差不多了,就开始准备结婚的事情了。”

       那时候,两个人都刚开始工作,没什么钱。婚礼一切从简,更是没有彩礼。
 

       结婚标配的”三大件“,手表、缝纫机和自行车,一件也没有。可想而知,当时的条件真的很一般。
 

       后来两个人一起赚钱,一件件慢慢添置起来,日子慢慢变好。

       “我记得买冰箱的时候,是把钢镚一个一个凑起来买的”,自己奋斗得来的,那心情完全不一样,特别满足”。
 

       阿姨说:“我们俩之间就像是细水长流型的爱情,没有那么多大是大非。”
 
02.50℃蜂蜜水,最贴心
 

       夫妻俩的小日子在两个人踏实的努力下,渐渐好了起来。从35℃的白开水,也加温到了50℃的蜂蜜水。
 

       但甜中带的一点苦是,两个人牙齿都不好,吃饭成了大问题。
 


       说起牙齿不好的原因,叔叔讲到:“在60年代,生活很贫穷,吃的都是粗粮,野菜,所以那个年代的人,牙齿都不好。饭都吃不饱,哪有人会重视牙的问题。”
 

       叔叔30多岁的时候,一口牙就全都坏了。
 

       阿姨是在40岁的时候,就已经拔掉很多颗牙齿。后来吃饭凑合的时候都是用糖水泡着馒头吃,”有点甜味儿就得了“。
 

       阿姨舍不得花钱,更舍不得把钱花到牙齿上,”是啊,你说这么多钱,我花在哪里不好,花到牙齿上,就总觉得没必要。“
 
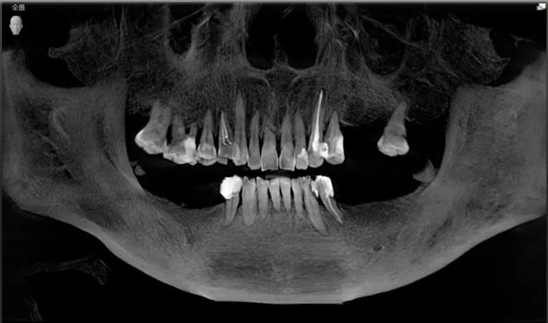
阿姨术前口内CBCT全景照
 

       叔叔算是”久病成医“,对治牙自有一套理论,”牙齿问题会越来越严重的,趁着这个岁数,体力还行,就抓紧治了“。
 

       看到阿姨总是忽视自己,对自己的身体健康蛮不在乎的样子,叔叔也非常焦心。就先在海德堡联合口腔做了种植牙手术,做了4颗种植体。
 

       叔叔说,“我想着,我先去,他看我做完种植牙手术没有问题,她的害怕也能少一点了。”
 

       “我一直劝她,我跟她说,你啊,就跟着我走吧,你看我种完牙不啥事没有,吃饭也好了。”
 

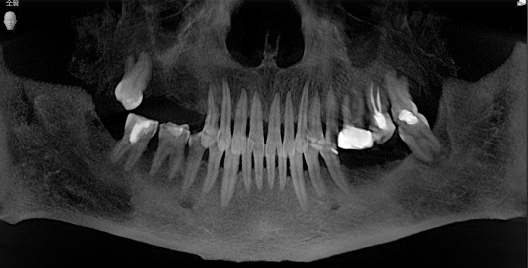
叔叔术前口内CBCT全景照
 

       叔叔的“亲身示范”和不断的支持鼓励,终于让阿姨鼓起勇气来治牙。
 

       术后有了自己的牙齿,阿姨高兴地说,“我的精神面貌都比以前好多啦“。
 

       好的伴侣就应该是这样吧,互相牵绊,我愿意从你的角度思考问题,用你能接受的方式去”对你好“。
 


       叔叔阿姨说着年轻时对感情的事不懂,交往过程看起来如温吞白水,可其中的暗涌是,两个人的三观一致,生活奋斗目标相同,对待生活积极上进,选定伴侣的品质、个性是相匹配的,所以才觉得“一切都是那么自然”。

       好的爱情也应当是适宜人体的温度,不烫嘴,不冷人,是刚好入口,润舌止渴的自然。
 
03.每一餐饭里,都藏着我们的爱情
 

       爱情其实也没多么复杂,爱无非就是,我爱你,所以我更要先照顾好自己,才能更久的爱你。
 

       对待他们爱情的结晶,叔叔阿姨总是说:“我们照顾好自己,才是对儿女最大的支持”。

 
叔叔阿姨和他们的小孙女
 

       其实很多父母都会这样说的,但真正去关注自己的身体健康,有问题及时去看医生的很少。
 

       叔叔阿姨的日子虽然平淡,但是对对方的关心却不平淡。不只是为了可以陪伴方更久,更是为了所有家人,不给他们添负担。
 
 

       有叔叔陪着,阿姨也选择了来海德堡练联合口腔做种植牙手术。
 

       曹申主任为阿姨进行了数字化的会诊,借助Sirona CBCT全景影像信息和相关修复信息为基础,借助数字化专业种植设计软件进行术前诊断和种植方案规划。
 
 

       阿姨怕疼,UNIC种植体系帮助阿姨即拔即种植、当天戴牙,打造专属于患者的“私人订制”完整种植闭环,数字化微创种植结合数字化椅旁修复方式,减少患者的痛苦,提高患者的舒适感。
 

       回忆起曹申主任的治疗,叔叔阿姨对曹主任夸了又夸。
 

       阿姨说:“曹申主任的宽大体格和细腻的手法对比非常强,真的没想到曹主任是这么细腻的一个人。他会把你牙齿的问题讲得特别细,还不会夸大。
 

       而且,他是可以治疗你整口牙的问题,不是只给你看一颗牙。“
 

       ”在海德堡联合口腔,治疗牙齿是一整个医疗团队为你负责。拔牙、治牙周、种牙、戴牙,曹申医生从头到尾全都可以负责。”
 
 
叔叔阿姨与曹申主任一起参加《百医百顺》栏目
 

       不仅是一位医生,一个团队在为患者负责。海德堡联合口腔整家企业都在为患者负责。
 

       海德堡联合口腔为每位种植牙顾客提供完善的种植术后终身维护服务,在术前签订质保协议,VIP专属客服将从术前开始陪伴在侧,并且会在术后定期联系顾客进行到院复查保养,以保证种植牙的长期健康。
 

       在真实的看到海德堡的环境、体验了海德堡的专业服务以及和医生面对面交流过后,叔叔说:“咱俩啊,后半辈子的牙就在海德堡治啦。”
 
 

       其实爱一点都不难。爱是关心对方,爱也是不忽视自己。 让自己处于在舒适的温度,这一段爱情的温度才能保持恒定。
 

       就像阿姨在采访的最后说到,“我特别感谢他。”感谢他为我着想,感谢他重视我,替我重视被我自己忽视了的问题,让我后半生有口好牙,能好好吃饭,有个好的健康。
 

       一定要山崩地裂般的浓烈才算是爱情吗?
 

       爱情的模样,不是只有浓烈一种样子,像一本闲絮的散文,平淡如水,更让人感到流水般涌长的幸福。
 
       这一年的七夕,让我好好爱你,更要好好爱自己。

TEL / 022-58969998