天津市海德堡联合口腔医院

重新定义德国种植牙标准 | UNIC全息数字化智能种植

接诊时间:08:00-17:30

预约咨询热线:022-58969998

首页 > 牙齿种植 >

26/07/2021

NEWS
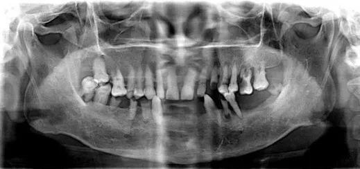
3分钟获取智能口腔AI报告,全景解析牙齿状况
AI大家一定了解。那你知道AI+医疗能做到什么吗?
 

       其实不只是在科技领域,在医疗领域,人工智能的发展也是如火如荼。疫情将中国医疗行业的发展再加速,智能医疗成为了新的发展趋势,“人工智能+数字化”即将为医疗带来一场新变革。
 
 
德国Sirona CBCT·3分钟出具AI健康报告
 

       在智能口腔医疗中,CBCT可以说是数字化智能化口腔产业中重要的一环。
 

       CBCT就是Cone beam Computed Tomography的简称,即锥形束。原理是X射线发生器以较低的射线量(球管电流在10毫安左右)围绕投照体做360°环形数字式投照,经多次数字投照后将所获数据在计算机中进行重组后获得三维图像。
 

传统CT设备和CBCT设备


       相较于传统的二维X光影像,德国Sirona CBCT是基于三维重建原理,利用的是三维锥形束X线进行扫描。
 

       具有扫描时间短、X射线剂量小、图像分辨率高、操作简单、设备费用低,且能在所有三个参照面提供高质量和尺度精准的成像等显著优势。
 
 
▲ 常见的牙片是二维的
 
 
▲ CBCT可以得到三维图像,更加精准
 

       CBCT的出现彻底改变了传统口腔颌面放射学设备仅能提供二维图像的历史,可以三维显示病变结构,大大提高了诊断能力。
 

       患者只需要静静站在设备前接受影像扫描2分钟左右,就能够迅速获取口内数据。

 

       在德国Sirona CBCT影像中心,影像扫描3分钟后即可生成一份口腔健康评估AI报告。
 

       AI报告首先会对牙齿进行综合评估并给出分数,通过分数情况就可以了解牙齿情况到底好不好。

 


       然后是牙齿全景影像图和分析结果标识,哪颗牙缺失了,根尖周炎的位置,能让你比照镜子还要看的清楚自己牙齿的样子。
 
 

       
       AI报告内还有对牙齿情况、牙周情况、根尖情况检出问题的分析。给出病因,可能引发的后果,相应治疗手段和预防措施。并且还能科普牙齿问题的定义和影像表现。

 

       在进行口腔健康评估的时候,系统对于影像中所反映的口腔问题进行展示,您可以直观地看到从牙体到牙周的健康状态。
 

       AI报告还可以对口腔问题做出10年期恶化模拟全景图,系统综合口腔医学知识,对每一个阶段可能会产生的问题进行预测和图文描述,让口腔问题的严重性更易于理解。
 

 

       但德国Sirona CBCT的诊断并不是海德堡联合口腔能为您提供的唯一一项AI医疗体验。
 

       海德堡联合口腔将CBCT与三维面部数据、口内扫描数据和牙颌模型数据上传至数字化中心综合分析,形成一套完整的全数字化闭环诊疗。 
  

       那么依据UNIC全数字化智能体系实现的全数字化诊疗闭环到底是什么呢?
 
UNIC全数字化智能体系·诊疗闭环可视
 

       借助计算机技术,采用德国UNIC全数字化智能种植诊疗系统 ,患者看诊流程为:
 
1、德国Sirona CBCT:通过CBCT进行口腔三维立体扫描,获取骨量信息、咬合关系数据图像,3分钟获取口腔健康评估AI报告。
 

 
2、医生初诊:根据口腔三维影像与口腔报告医生初步看诊。

 
3、专家会诊:根据上传至数字化系统中的患者口腔数据与医生的初步判断,配以德国3Shape数字化口腔扫描,十几分钟内完成口腔数据全部采集,1:1重建口腔模型,让口内数据更准确。
 

 
4、确定方案:在海德堡UNIC数字化全系种植方案设计中心,上传会诊系统中,模拟手术过程及预测术后效果。让患者消除对手术的恐惧感,同时感受到更加直观、精准、易懂的种植方案。

 
5、云数据3D systems 打印导板:通过UNIC数字化会诊系统云端数据,设计打印3D systems种植导板,将数字化设计的手术方案移植到口内。依靠自身数字化的精确定位和微创特点,大大减少失误操作,提高种植手术的精准度。

 
6、一体化CAD/CAM义齿制作:通过数字化椅旁修复系统,快速切削出牙冠,配合前期制作的数字化种植导板,  可以实现当天种植、当天恢复咀嚼功能。
 


       海德堡UNIC种植体系完美打造专属于患者的“私人订制”完整种植闭环,将患者进门检查、设计方案、打印义齿、制作、成型等环节串联起来。

       并设置反馈机制,以做到在修复的过程中反复调整,不偏离高质量的种植效果方向,真正做到精准,高效的种植效果与服务,提高种植体的远期存活率。
 
数字化AI口腔医疗·离不开医生
 

       种植牙手术是一个复杂且严谨的手术,海德堡联合口腔医院对种植牙手术的要求是精准、微创、无痛。

       “人工智能+大数据”的配合,可以给医生提供更多的参考依据,进行更加全面的分析。

       一位经验丰富的种植牙医生会从患者身体素质的各方面综合考量,对患者病情的诊断,还是要靠医生结合着临床的知识、经验来综合判断。

       在AI的协助下,医生对患者情况进行复核,给患者带来更全面的治疗。

       数字化设备构筑的AI智能医疗体系,基于其自身强大的大数据能力,可以代替医生做一些重复性高、技术含量相对低的工作,这样就可以把节省出来的时间,用来与患者进行沟通。毕竟对患者更了解,才能更好解决患者的诉求 。
 
 

       深耕于种植领域的海德堡联合口腔成立了以森德和路易斯博士为首,联合德国麦哲伦3D全息数字化中心百名牙医组成云数据”中德百名博士专家智库“。
 

       与国外专家组成智库团,上传案例进行分析比较,搭建技术“云桥“,大规模影像数据和经验丰富的国内外专家,会帮患者做出最适合的诊疗方案,为海德堡数字化诊疗提供坚实的“智慧保障 ”。
 

 
       作为天津唯一一家打造出完整的数字化种植闭环服务的医院,海德堡联合口腔践行严谨的德国式规范化诊疗体系。为每一位患者提供全数字化AI口腔诊疗体验,建立私人牙齿健康档案,直观地解答您牙齿问题。

TEL / 022-58969998