重新定义德国种植牙标准 | UNIC全息数字化智能种植
接诊时间:08:00-17:30
预约咨询热线:022-58969998
10/10/2020
NEWS
牙齿
决定了一个人40%的颜值
一口靓丽洁白的牙齿
能为职场和生活加分不少

跟很多大病比起来,
大多数人不把牙病当回事儿,
还有人认为缺一两颗牙都没关系!
但是
长期缺牙会导致咀嚼功能退化,
导致营养缺乏、抵抗力下降,
严重影响健康!

这个时候就需要种植牙来拯救你!
很多人对种牙的第一印象
还是“太贵了”
以至于不敢去种牙!

为了让大家拥有一口发亮的白牙
今天海德堡口腔小编为大家推荐
一家超高性价比的齿科机构
让你种牙、洁牙再也不心疼钱!

前期一对一咨询
作为子女,不忍心看到
父母因为缺牙不能享受美食的一幕
所以海德堡口腔小编也和医生咨询了
针对牙齿缺失的相关口腔方案。
种植牙是口腔医学界公认的“理想修复方式”,被誉为“人类的第三副牙”。它对邻牙没有破坏性,无论是形态、色泽、牢固程度、咀嚼功能等,均堪比真牙。

老人因牙齿缺失,导致咀嚼功能下降,
甚至出现营养不良。
种植牙在维护口腔健康方面,
明显好于活动假牙、烤瓷牙。
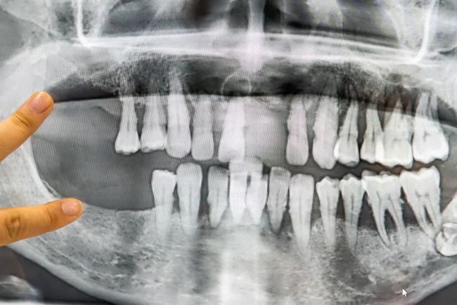
介绍不同类型种牙方案
医生还为我们介绍了种植的适用范围
单颗牙缺失、多颗牙缺失、
半口缺失、全口缺失等
无论什么年龄段,
在海德堡口腔都拥有多个成功案例。

单牙缺失

种植后

多颗缺失

种植后
前后对比图
进口优质种牙材料
而海德堡口腔选用的材料是
德国进口纯钛人工牙根
使用年限至少能达10年以上

种植牙不需要损伤两侧的邻牙,
不仅坚固耐用,还可以防止牙骨萎缩。
随着技术的改进,
种植牙的使用寿命也在不断延长。

听到这里
海德堡口腔小编突然觉得
爸妈“牙口不好”的遗憾,
此时此刻终于可以结束了!
医生介绍,
如果自然牙的最大咀嚼力是100的话,
那么假牙的咀嚼力是15~20,
而人工种植牙能发挥到80~90的力度。

同时,
种牙可以让牙槽骨及牙龈快速恢复,
还可为进食提供保障。
对于想要拥有完美好牙,
享受美食的人来说再合适不过了!

到了明亮舒适的诊室,
格外温柔的医生为你进行讲解口腔状况。
消除你的紧张感!

医生+护士1V2诊疗
避免看牙时候的尴尬感,
医生的诊疗非常耐心细致!

海德堡口腔医院遵循国际消毒标准,
每次诊疗前都会更换仪器保护膜,
和一次性医疗用具。
他们对待卫生安全的态度是专业的!
还有专门的消毒室,
可视化监督医疗卫生,机洗清洁消毒,
100%保障卫生条件!

海德堡口腔综合
口腔医疗、口腔保健、口腔美容
拥有强大的医疗团队和专业产品
聚集了口腔科的多位专业医师,
拥有多年的从业经验,
还有知名口腔专家组成的顾问团队,
曾被官方媒体认证为金口碑齿科
这里有前沿精尖的设备和技术,
根据不同的诊室,
进行个性化设计,
为每一位患者提供专业化口腔服务。
矫正、种植、CT室、洁牙...
各个独立诊室的功能分得清清楚楚,
一人一机,保证看牙的私密性。
海德堡口腔医院
