天津市海德堡联合口腔医院
重新定义德国种植牙标准 | UNIC全息数字化智能种植
接诊时间:08:00-17:30
预约咨询热线:022-58969998
09/11/2021
天津海德堡联合口腔医生提醒这些牙齿误区要避免
误区一:使用大头牙刷,用力横刷 有人习惯使用毛束密集的大头牙刷,用力横向拉锯式刷牙,以为这样可以提高效率和清洁程度。 殊不知,正是这些粗、硬、密的毛束,加上灵活性欠
08/11/2021
天津海德堡联合口腔医生讲解天津全口种植牙多少钱?
随着年龄日益增大,老年人的口腔问题越来越多。很多老年人甚至有了全口缺失的症状,造成不美观不自信,还影响了自己吃饭,危害身体健康,咀嚼功能差,消化功能也受损,那么全
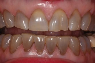
天津海德堡联合口腔医生讲解四环素牙的形成
四环素牙的形成: 在牙齿发育过程中(儿童期),服用的四环素族药物沉积于牙本质和牙釉质中引起牙变色和牙釉质发育不全,使牙齿色泽发生改变,变为不同程度的黄色、棕褐色、深灰
TEL / 022-58969998