天津市海德堡联合口腔医院

重新定义德国种植牙标准 | UNIC全息数字化智能种植

接诊时间:08:00-17:30

预约咨询热线:022-58969998

首页 > 聚焦海德堡 >

08/11/2021

NEWS
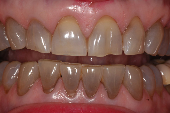
天津海德堡联合口腔医生讲解四环素牙的形成
四环素牙的形成:
 
       在牙齿发育过程中(儿童期),服用的四环素族药物沉积于牙本质和牙釉质中引起牙变色和牙釉质发育不全,使牙齿色泽发生改变,变为不同程度的黄色、棕褐色、深灰色等病变。
 

       四环素牙的表现:
 


1、呈不同程度的黄色、棕褐色或深灰色。
 
2、多数前牙比后牙着色明显,合并釉质发育不全,是一种不可逆的病损。
 
3、部分四环素牙患者有心理负担和伤害。
 

       四环素牙传统的治疗方法:
 
1、漂白法:单纯漂白治疗,轻度者较好,只是容易反弹、色泽再现。
 
2、烤瓷牙:部分严重四环素牙可以选择烤瓷牙修复;但是很多病例被过度治疗,造成牙齿永久的不可逆性损害。

TEL / 022-58969998