天津市海德堡联合口腔医院

重新定义德国种植牙标准 | UNIC全息数字化智能种植

接诊时间:08:00-17:30

预约咨询热线:022-58969998

首页 > 聚焦海德堡 >

13/03/2021

NEWS
嘴里出现这种情况比长蛀牙更加可怕,你知道吗?



       现在,比起牙齿出现一系列问题让人苦不堪言,人们更愿意多花点时间清洁护理好自己的牙齿。
 
       不仅能够笑起来好看,还能维持健康的体魄,最重要的是,能够随时绽放自信笑容 !



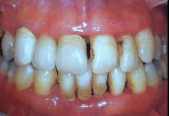
       如果出现蛀牙、牙结石还可以通过治疗来修复,但若是出现这种情况,你连修复的机会都没有。
 
       因为它是不可修复的,这种情况就是「牙龈萎缩」。
 
一、牙龈萎缩是一种什么样的情况?
 
       你可能会觉得,既然它这么可怕,那么它一定是一种牙齿疾病。
 
       不,严格意义上来说,牙龈萎缩不是病,它只是牙周疾病的一种常见症状。
 
       所谓牙龈萎缩,它是指牙齿根部的牙龈退缩,从而导致牙根暴露了出来。



       一眼看上去,你会觉得牙齿变长了,这是牙龈萎缩的表象。
 
       虽然牙龈萎缩多见于中老年人,但并不意味着是年轻人不会有,由于口腔护理不周、清洁意识弱,越来越多的年轻人也出现了牙龈萎缩的情况。
 
       而且在牙龈萎缩发展初期,会让失去牙龈保护的牙根变得敏感,很难抵御外界的刺激,感到难受、不适。



       若还是继续萎缩下去,可能会影响到牙神经造成牙髓疾病,这可就有点严重了。
 
       失去牙龈保护,会让牙缝暴露出来,容易嵌塞食物难以清洁,引发龋齿、牙周炎。
 
       发展到最终导致牙齿松动掉落,牙槽骨吸收,即使想做牙齿修复(种植牙)也不太容易,这也是很多人所不愿看到的。



       最需要注意的是,牙龈萎缩是不可逆的,不能完全恢复!
 
二、牙龈萎缩的类型和“病因”?
 
       不少人不明不白地就出现了牙龈萎缩,搞不清楚个所以然,其实,它和牙病一样由诸多因素引起。
 
       一些是因为牙齿没有清洁好、一些是由于外力引发,还有一些是身体机能减退的原因。
 
总体来说有以下这几种类型,直接或间接地出现牙龈萎缩:


1、炎症性牙龈萎缩

       在牙龈萎缩的情况中,由炎症造成的萎缩是最普遍也最常见的。
 
       一般是由于牙周炎导致牙周组织遭到破坏,从而让牙槽骨上的牙龈逐渐向牙根方向萎缩。
 
炎症类的萎缩多见于不注重刷牙和口腔清洁而出现牙周炎的人群



2、机械性牙龈萎缩

       这种类型的牙龈萎缩就需要从外部找原因了,主要是由于牙刷不符合标准,并且采用不正确的刷牙方式(如横向刷牙)导致的。
 
       还有在牙齿修复时,不良的修复体等机械摩擦或压迫牙龈,造成牙龈和牙槽骨受损退缩。
 
       一般多发于一组牙或者单颗牙,主要依靠外力作用。
 
3、废用性牙龈萎缩

       “用进废退”用来形容这种类型的牙龈萎缩最适合不过了,是由于牙齿没有了咀嚼功能,牙周组织缺乏刺激,处于长期的废弃状态。
 
       长时间下来就会使牙龈或者牙槽骨吸收,导致牙龈萎缩。
 
4、老年性牙龈萎缩
       
       顾名思义,老年性牙龈萎缩发于老年人,主要是由于年龄增大,身体机能衰退引起的,在老年人群体中是一种正常现象。
 
       这种类型的萎缩一般是整个牙龈和牙槽骨都出现退缩和吸收,少见于局部。



5、早老性牙龈萎缩

       虽然带有一个“老”字,但是它却多发于年轻人身上,从而出现老年人牙龈萎缩的症状。
 
       而这类牙龈萎缩,主要就是由于生活或饮食环境的污染及服用某些药物导致牙龈过早萎缩,所以也叫早老性牙龈萎缩。
 
       不管是什么类型的萎缩,其本质都会造成牙龈退缩,牙根过多暴露,不利于维持口腔健康。
 
       牙龈萎缩不仅让我们的牙齿美观受到影响,拉低颜值,偶尔还会产生或重或轻的疼痛感。
 
       再强调一遍,牙龈萎缩是不可以恢复的!!!

 
三、什么方法能够避免牙龈“一退再退”
 
       听起来牙龈萎缩很可怕,甚至无法自然恢复,但这都是萎缩已经发展到后期才会面临的情况了。
 
       令人欣慰的是牙龈萎缩的发展周期比较长,从最初出现轻微的症状到严重的症状中间有足够的时间可以及时止住牙龈退缩的进程。



       前提是需要我们对牙龈给予足够多的关注,并且经常观察牙龈的发育情况。
 
       当然,防范于未然,提前的预防是至关重要的,我们需要做到这几点:
 
1、定期进行口腔检查、洁牙
 
       对于口腔环境正常的人,每半年至一年需要进行一次洗牙,若是牙齿情况不容乐观,可以适当增加洗牙次数。
 
       至于口腔检查,建议成年人至少每年一次,半年一次最好,及时了解自己的口腔状况。
 
2、选用正确的刷牙方式和工具
 
       刷牙方式非常重要,上面说到的横向刷牙法就不建议采用,巴氏刷牙法才是最科学的刷牙方式。
 
       牙刷也需要选择刷毛较软,顶端圆钝的,清洁牙齿的同时避免对牙龈组织造成损伤。
 
       必要时,可以使用牙线、冲牙器等工具清理掉牙刷刷不到的残渣。



3、镶假牙需选择正规机构
 
       一些想做假牙的人为了省钱会选择价格低、操作不规范的机构进行治疗,而这就是导致不良牙修复体造成牙龈萎缩的重要原因。
 
4、发现异常及早就医
 
       一旦发现牙龈有退缩的趋势,不要等,因为它不会恢复,尽早检查看医生才是最为稳妥有效的治疗方法。
 
       医生可以根据牙龈情况对症治疗,避免牙龈进一步萎缩。



       归根结底,在年轻人身上,大部分牙龈的萎缩是因为清洁护理不到位,刷牙方式不对,从而让牙周疾病有了可乘之机,发展为牙龈萎缩。
 
       但是只要注重预防、定期检查,一切就都不是事儿。
 
       对于老年人来说,虽然牙龈萎缩是发生在老人口腔中的一种普遍情况,但是为了以后能够做牙齿修复(种植牙),牙龈萎缩也需要重视。



       因为萎缩会导致掉牙,长时间缺牙会让牙槽骨吸收,变得薄而扁平,不利于牙齿修复(种植牙)。
 
       所以,海德堡联合口腔郑重提示您,不论是为了现在,还是将来,都得保护好口腔,护好每一颗牙。
 
       毕竟,牙齿是我们享受美食不可缺少的一部分,也是健康之基。


TEL / 022-58969998