11月19号,在天津京剧界发生了这样一件事,相信喜爱京剧大师康万生先生的戏迷们都知道,康老师即将在海德堡联合口腔进行数字化种植牙手术。
在11月19日晚20:15,天津科教频道《百医百顺》栏目全程记录了此次手术过程。
康万生先生,主攻裘派花脸,是著名的“铜锤花脸”表演艺术家、国家一级演员、中国戏剧家协会会员、天津剧协理事,代表作有《赤桑镇》、《铡美案》等裘派著名剧目。
康老师的《赤桑镇》表演剧目
作为一位出名的老艺术家,他从来不摆架子,待人亲和,所以私底下人们更爱称呼他为“康爷爷”、“康老师”。
康老师从三十岁开始就因为牙周炎问题陆陆续续地掉牙,到现在已经七十多岁了,也就是说康老先生被牙齿问题困扰了四十余年。
一开始只是缺了一两颗牙,对唱戏的影响不太大,但是掉了的牙还会导致周围的牙齿出现松动,最终也跟着一块儿掉。
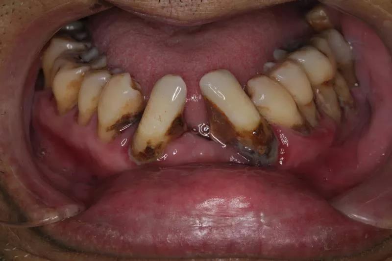
发展到现在,康老师的上颌已经完全没有牙齿了,下颌的牙齿也因为牙龈萎缩,松动地很厉害。
因为缺牙,康老师台上唱戏“撒气漏风”,台下吃饭也只能吃软的食物,不能正常咀嚼,即便是戴了假牙也无济于事,对唱戏和健康造成了很严重的影响。
四处辗转求医无果后,康老师在朋友的介绍下来到了海德堡联合口腔,选择在这里解决掉困扰了大半辈子的难题,去做种植牙。
康老师下颌的牙齿牙龈萎缩,并且因为上颌佩戴的是假牙,没有真牙对下颌牙齿产生的作用力,导致下颌牙齿变长,影响外观与正常的咀嚼。
康老师第一次来看牙时的口内照片
所以需要先将下颌左侧的部分牙齿拔除,再在原有牙齿的牙槽骨上植入种植体,再进行戴牙。
术前通过数字化扫描设备得到了康老师详细的口内数据,他的情况比较特殊,本来就属于高龄种植患者,2~6号牙之间出现了局部缺失,并且下颌左后区存在骨质疏松的情况。
为康老师设计的种植方案
为他规划的种植区距离下槽牙神经很近,种植难度很大,所以针对这次疑难种植,海德堡联合口腔微创种植中心李雪松院长和种植中心的曹申主任联合会诊。
李院长和曹主任联合为康老师会诊
在UNIC数字化种植方案设计中心结合牙骨骨质情况和种植区位置,为康老师制定了最为合适的种植方案,打造出完整的种植闭环,实现当天拔牙,当天戴牙。
这次种植手术的主刀医生是海德堡联合口腔微创种植中心的李雪松院长,李院长从事种植行业已经16年了,是国内最早一批数字化种植的专家。
李雪松院长在跟康老师沟通种植事宜
李院长在业内很具有知名度,他的临床经验、种植方案设计和种植的颗数在同龄医生中都是遥遥领先的,参与编纂了《数字化导板种植技术》一书,是国内第一本关于数字化种植导板种植的医学书籍。
点击此链接了解李雪松院长:李雪松院长:将一切献给热爱的数字化种植技术
参与设计种植方案并进行手术全程解说的是海德堡联合口腔种植中心的曹申主任。
曹申主任在为康老师看诊
曹主任是天津医科大学硕士毕业,副主任医师,曾在公立医院任职十五年,擅长数字化口腔种植、即拔即种、即刻负重、高龄疑难牙缺失种植。
点击此链接了解曹申主任: 曹申 : 在家门口当医生,最要讲良心!
11月19日20:15,医疗设备、手术人员准备就绪,同时康老师的身体状态和心理状态调整到最佳后,手术准时开始。
在曹主任的陪同下,医护人员为康老师穿戴了防护服,做了消毒杀菌处理,随后引领至手术室。

医护人员引领康老师进入手术室
海德堡联合口腔的院感防控非常严格,设有专门的DIN程控一体化消毒供应中心,手术用品专人专用,进入到手术室的任何人和设备都需要进行消毒处理,全面保障手术过程中的卫生安全。
正式手术之前,口腔消毒是非常重要的,医护人员指导康老师漱口进行了口内消毒,又为他做了口外消毒。
康老师正在接受口外消毒
因为康老师年龄较大,为了种植安全,手术过程中医护人员全程把控老人的血压,检测心率,避免突发情况。

接受血压检测
在设计出康老师的种植方案之前,李院长就将老人的血压、心率问题考虑在内,只要浮动在可控范围内,就不会对手术造成影响。
接受心率检测
为了此次手术实现无痛种植,需要对康老师进行局部麻醉,医生在为康老师注射麻药时,运用的设备是数字化无痛麻醉仪。
正在为康老师进行局部麻醉
经过麻醉设备严密的数据分析,测算出最佳的注射位置和注射剂量,实现缓慢无痛注射,在种植区牙龈的位置为康老师注射了麻药。
正在为康老师拔牙
考虑到康老师右下3号牙是严重倾斜的,影响外观,并且有些松动,所以需要把这颗牙拔除。大约十几秒钟,3号牙就被拔出来了,整个拔牙过程,患者都是无痛的。
手术前安装数字化导板是为了精准定位种植位置,减小创口和出血,所以李院长需要将种植导板固定在口内。

正在为康老师放种植导板
导板种植有精准、微创、速度快等优点,导板固定地越稳定,种植的就越准确,误差就可以控制在最小的范围内。

康老师的牙窝较浅,牙槽骨比较厚,符合“即刻种植”的基本条件。拔完牙,安装好种植导板,李院长在牙槽骨上“备洞”,为植入种植体做好准备。
正在为种植体备洞
几分钟后,第一颗种植体植入完毕,随后,第二颗,第三颗也很快地顺利植入。
植入种植体
再一步就是进行矫正种植体的扭矩,避免种斜,最后取出种植导板,可以看出导板很干净,没有血液。
这就是导板种植最显著的优点,创口小、流血少,能够实现微创。
接下来就到了种植手术的最后一步,连接基台再戴上牙,进行到这里,手术就完成了。
已经为康老师戴好了牙
出了手术室,康老师迫不及待地问:“镜子在哪儿?镜子呢?”,可见他当时激动的心情,迫不及待地想要见证种植完之后的效果。
电视台的主持人立刻上前询问康老师的感受,康老师的反馈很好,说全程基本没有什么感觉,一点事儿没有。
康老师开心地走出手术室
随后主持人问康老师手术过程中紧张吗?康老师说:“刚开始进去有一点,但是手术中就不紧张了,根本不疼,一直没动静”,随后还开心地比划起来。
几十分钟的手术完成了,医护人员引领康老师进入到休息室休息。术后客服为他讲解手术后需要注意什么,应该怎么样护理,休息期间全程陪护。
术后护士为康老师讲解注意要点
为了更形象地看出康老师的治疗效果,他很轻松地咬破了一颗圣女果,这也是海德堡联合口腔实现“当天戴牙”、“即刻负重”的种植效果。
康老师尝试吃水果
种完牙之后,我们明显地感觉到康老师更加精神了,之前因为缺牙造成的皮肤皱缩,现在因为有了牙齿的支撑也恢复了正常。
最重要的是说话不漏风了,吐字清楚,相信康老师经过这一次的种植牙治疗后,戏可以唱得更好,身体也会越来越健康。
对于康老师重获好牙,重新唱响京剧,弘扬国粹艺术,海德堡联合口腔全体工作人员都很开心,因为一家医疗机构最基本的价值得到了体现。
一直以来,海德堡联合口腔都在以“为广大缺牙市民打造健康好牙”为己任,建院以来,集教学科研于一体,接轨国际化的医疗技术。
积极投身公益活动,践行作为一家医疗机构所具有的责任和使命,只为提供专业、负责、有温度的医疗服务。
同时康老师也希望以自己种植牙的手术过程,警醒大家,一定要保护好牙齿,出现问题,不要拖延,及早诊治才是最明智的选择。