10月23号下午,天津市和平区人民检察院开展“服务 ‘六稳’‘六保’ 护航民企发展”检察开放日活动。
和平区人民检察院党组书记、检察长贾志杰,副检察长李庆超,党组成员、检委会专职委员薛光,和平区工商联党组书记王志刚以及和平区优秀企业家代表约15人参加此次活动。
在讲解员的带领下,先后参观了12309检察服务中心、案件管理中心,检察长接访室、远程视频接访场所、电子证据实验室等详细了解了案件受理和审查等方面的工作情况、案件信息公开、律师接待和司法救助情况。
海德堡联合口腔作为医疗企业代表参与此次活动,并在随后召开的优秀企业家座谈会上作为企业代表发表讲话。
"通过开放日活动,不仅让代表们进一步认识了检察工作,了解了检察职能,感受到了科技强检给检察工作带来的发展新变化,同时,也拉近了检察机关与企业的距离,增强了检察工作透明度,领略了检察人的风采。"
"感谢和平区检察院以及工商联领导对海德堡联合口腔的认可,作为一家德国口腔医院我们一定会以诚信运营企业、以诚信对待患者,知法、懂法、守法,从自身出发严格要求自己,带动医疗行业的整体发展。"
“作为一家口腔医疗企业,我们一直严格要求自己,敬畏医疗的同时定期组织企业普法讲座,做到人人知法人人懂法,在医疗行为和服务规医范上做到百分百严谨,透明公开、定制服务、提供质保,给客户安全的、可信任的诊疗环境和全方位的医疗保障,守护患者的口腔健康。”
02
拒绝行业乱象
医疗行业是一个特殊的行业,在党和政府的大力支持下,市民的口腔健康意识开始逐步加强,以前容易被忽略的牙齿健康问题开始被更多人所重视,海德堡联合口腔作为一家来自德国的口腔专科医院,也凭借专业和口碑得到了加速发展。
于此同时,在行业发展初期出现的问题也逐渐显现出来,下面和大家分享海德堡联合口腔在这方面是如何提供全方位的医疗保障,从而守护患者的口腔健康的。
不是所有医院都可以做种植牙!
几千块钱一颗的种植牙与好的种植牙,到底有何不同?
是否真的所有口腔医院都能实现当天种植当天戴牙?
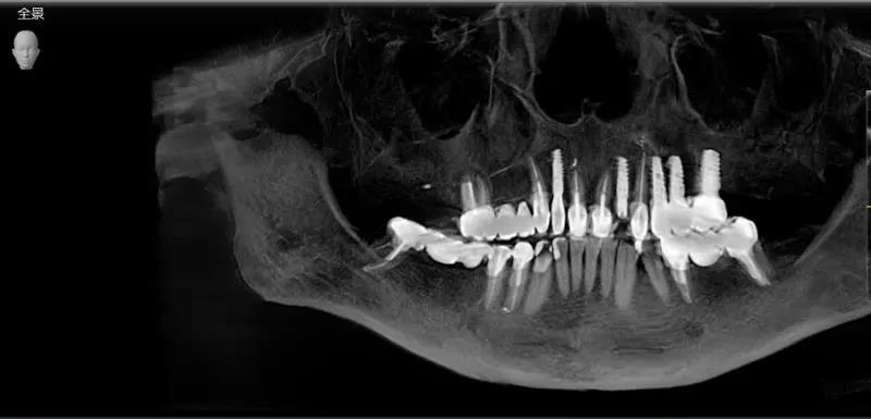
目前种植市场需求量较大,许多口腔医院在没有相关种植资质以及合格的种植医生情况下,贸然为许多渴望有牙的老人进行种植。
虽然种植牙手术属于微创类型的牙槽外科手术,类似拔牙。但这并不代表所有口腔医生都能够进行种植牙手术。
想要进行一次专业安全的种植牙手术,口腔医院必须配备急救设施、所有的医疗器械都必须有专业的消毒中心以及先进的牙齿诊疗设备进行支撑。
同时作为新型的缺失牙修复技术,种植牙对医生的医学理论和临床技术的要求非常高,一位经验丰富的种植牙医生不仅可以制定最佳治疗方案,还可以最大限度地控制术中创伤、降低手术风险,减少术后反应等。
因此,选择一家综合实力雄厚、口腔种植技术先进以及诊疗服务优质的口腔医院进行种植牙十分重要。
低价种植有风险
低价种植背后又有什么样的“文章”呢?
低价真的能做到低价吗?
低价种植广告
种牙前期收费包括“一期手术费+种植体、人工骨等费用”,后期收费包括“二期手术费+基台+牙冠等费用”。

如果从种牙开始到完成,一颗牙齿只收两三千元,那肯定有问题。大家要小心以次充好的“水货”种植体,或者地下工厂加工的非法种植体。
还有可能存在为了降低成本,把一些该需要的治疗步骤给省略了,比如种植体的转移和愈合基台的连接等等,那么势必会影响到后期种植体的使用。
另外,“2000元一颗”还可能是商家为吸引顾客的宣传噱头,把收费分解了,在后期治疗中再加收其他费用。
只有不正规的口腔医院才会“多收费”、“乱收费”以及“以次充好”,正规的口腔医院是会将院内的所有项目价格公开公示。
在海德堡联合口腔,我们承诺每项价格公示清晰,费用明确,绝不“二次收费”。因此,建议您在种牙前一定要了解种植价格包含的内容,收费是一口价,还是按步骤来收费。否则一旦开始种植,只能听从“低价医院”的话进行不断地缴费了。
种植术后保障
好的种植牙是可以让您沿用一生的,这意味着从种植术前的检查开始就要进行一系列精准地测量与保障。
重新定义德国种植牙标准
种植体植入及修复完成并不意味着已经完成了所有的诊疗过程,术后的稳固度和持久性也是大家所关心的。后期的售后维护与随访往往是决定种植义齿长期成功率的关键因素。
普通诊所vs海德堡联合口腔
不是所有的口腔医院都能做到终身维护服务。
海德堡联合口腔为每位种植牙顾客提供完善的种植术后终身维护服务,VIP专属客服将从术前开始陪伴在侧,并且会在术后定期联系顾客进行到院复查保养,以保证种植牙的长期健康。
为患者提供安全安心的健康保障、舒适化的诊疗环境、全方位的口腔健康保障体系,让患者安心看牙,舒适看牙。
03
让医疗行在阳光下
海德堡联合口腔医院荣膺
2019年度榜样天津·城市民生贡献奖
诚信为本,质量为先,让医疗行在阳光下,是海德堡联合口腔始终坚守严谨的口腔诊疗标准,诚信医疗,着力于提供纯德国的口腔诊疗服务,不断提升医疗品质和技术创新的初心与坚持。
海德堡联合口腔是拥有德国的技术、设备、系统为一体的新型国际化口腔医院。秉承德国严谨和诚信的态度,将医疗工作透明化、流程标准化,在媒体、患者和行业同仁的监督下,让安全成为患者就医的第一信心保障。
医疗技术
海德堡联合口腔重新定义德国种植牙标准,在UNIC全息数字化种植中心将复杂的种植流程串连形成数字化闭环,提高种植品质,将误差减少到更小,维护术后种植体稳定性较强、成活率较高。
服务品质
海德堡联合口腔引进全套德国口腔设备,严格执行口腔标准,透明、公开、优质的诊疗环境,给患者建立终身档案,长期享受医疗跟踪服务,力求不断从细节出发提升用户诊疗体验。
医疗专业
海德堡联合口腔以德国海德堡大学、法兰克福大学、波恩大学等德国口腔院校为学术底蕴,以德国门登特斯医学科学研究院、德国口腔种植协会、世界牙科联盟等科研机构为核心技术支撑力量践行德国标准和规范的口腔机构,三大名校三大中心和德国百名医生团,与前沿接轨,不断研发新技术,引进先进设备技术,为患者提供更舒适就诊服务。
海德堡联合口腔将诚信渗透到血液里,始终把患者放在第一位,不断提升医疗品质和技术创新,提供透明公开最先进的医疗技术的同时,还让医疗行在阳光下,真正助力全民健康进程。
让每一位患者都安心看牙,守护患者的就诊权益。