你是从什么时候开始接受自己变老的?
看着身边的同龄人,身体“零件”或多或少的出现问题,自己一开始还不在意,安慰着自己谁又能逃过变老的命运呢。这时,你已经接受了这样的残酷事实。
是的,每个人都难逃一老,我们无法决定自己生命的长度,因此有些人面对衰老时,内心已经放弃了“抵抗”的精神,坦然变老。
但有一些人,她们选择无论何时,都保持着饱满的精神状态,让自己的生活时刻绽放着精彩,这样的人才是最了不起的。
海德堡联合口腔医院「真实故事计划」,
我们将采访100位海德堡医院的真实患者,
没脚本、不煽情、只记录,
和他们聊一聊他们的故事。

周静阿姨对于生活永远保持着乐观的心态,今年60岁的她爱美、爱旅行、爱拍照、爱化妆,永远保持着光彩靓丽的一面。这是周阿姨对于自己生活的标准,也是对于自己的尊重。
然而,美中不足的是,周阿姨的牙齿问题给她的幸福生活拖了后腿。
从最开始脱落的1颗牙,发展到上半口只剩下5颗牙,吃饭从费劲变成了痛苦、折磨。
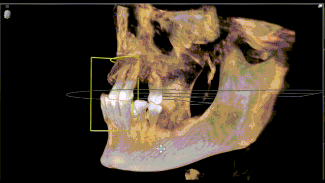
周阿姨初次到院时的牙齿情况
与绝大多数人一样,周阿姨选择了“简单解决”自己的牙齿问题,选择了一副活动义齿来遮挡自己缺失的上半口牙齿。
为了不让同行的旅友发现,好面子的周阿姨只能自己偷偷地摘戴假牙,默默忍受假牙摘戴时的疼痛与不适,拍照时还不能笑得太开心,怕自己的假牙随时会从嘴里掉出去,出现尴尬的场景。
牙齿问题,既是她的痛苦,也是她唯一不自信的地方。
在邻居的推荐下,周静阿姨来到了海德堡联合口腔,一开始只是想简单咨询自己的牙齿问题,在得知可以免费拍摄数字化CBCT全景影像片后,阿姨直观地看到了自己的牙齿情况,也意识到了自己的牙齿问题不能再拖了。
在了解到周阿姨心中对于自己牙齿问题的遗憾与期望,海德堡联合口腔李雪松院长为周阿姨亲自进行会诊,并让阿姨看到了自己种完牙之后的样子,美观、舒适、媲美真牙的效果就是周阿姨想要的。
李雪松院长针对周阿姨的牙齿情况、牙槽骨的情况设计出一套数字化微创种植方案,舒适无痛。
她唯一担心手术过程中的疼痛问题,在得到了李雪松院长的保证下,也选择信任我们。
尽管内心还有些许紧张与犹豫,周阿姨问自己:“我现在才60岁,我真的有必要被自己的牙齿问题拖累一辈子吗?”
“不!我必须要改变!”不愿意向衰老低头的周阿姨决定进行种植,找回自己年轻时自信健康的笑容。
周阿姨在牙椅上躺了40分钟左右,上半口牙就种完了,阿姨表示果然跟李院长保证的一样,一点也不疼,而且当天做种植手术,当天就戴上了牙。
当天晚上,周阿姨就迫不及待地继续去锻炼,把自己刚种好的牙齿展示给自己的小姐妹们看,仿佛小孩子向周围的小朋友们展示自己心爱的玩具一样。
如今距离周静阿姨完成种植过去了半个多月的时间,阿姨的精神状态比之前更好了,整个人也更加自信、美丽了。
在接受采访时,她感叹着“天时地利人和”全部都赶在了一起,自己能够遇到这么好的口腔医院加上种植技术好的种植院长团队以及非常贴心的医疗服务,再加上自己的牙槽骨情况非常好,才能造就自己如今自信的笑容。
周阿姨跟我们透露,自己在做完种植牙之后又马不停蹄地前往景点,继续自己绚丽多彩的旅行生活,而如今自己也能在镜头面前非常自信地露齿笑了。
对于今年只有60岁的周阿姨来说,她今后的20、30年能够拥有更加精彩、丰富、自信的生活,这是一口健康的好牙给她的,也来源于自己对于“衰老”不服输的那股子精神劲儿.