天津市海德堡联合口腔医院

重新定义德国种植牙标准 | UNIC全息数字化智能种植

接诊时间:08:00-17:30

预约咨询热线:022-58969998

首页 > 聚焦海德堡 >

25/09/2020

NEWS
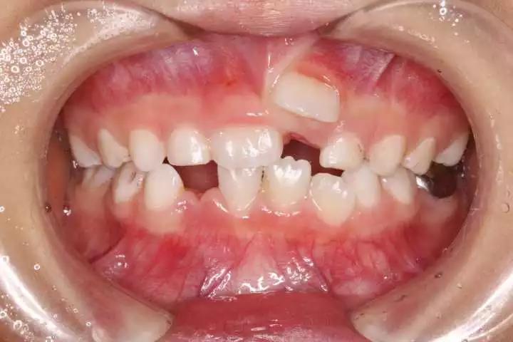
孩子出现双排牙,家长应该怎么办?
       这年头,小朋友的口腔问题成了许多家长们迫切了解的对象,充满了神秘感,而说起宝宝的牙齿,爸妈们总有聊不完的话题。

       今天,就让我带大家来一场小朋友的口腔探秘之旅!

 

       宝宝们到了六七岁开始换牙,本来是再平常不过的事情了。可是近年来,有越来越多像奇奇这样换牙“程序”出错的孩子:
 
       还没等乳牙“下岗”,恒牙就迫不及待地“上岗”了,于是就成了“双排牙”,一张嘴就好像“小怪兽”!

 


我们在齿科医学中,
就将这种牙齿称为“双排牙”,
这是小朋友牙齿发育不正常的一种现象。

       有些家长会问:“怎么会这样呢?平时在饮食上照顾得这么好,营养也跟得上,出现这种情况,那我应该怎么办啊?”

       放心,这种“双排牙”的现象虽然不多,但也不是完全不存在,只要及时做好牙齿矫正,就能够恢复正常,所以各位家长朋友也不用过于担心。

 


 
人的一生中要长两次牙齿。
 
一次是6个月左右开始长乳牙,然后就是6岁左右换乳牙,长恒牙。
 
恒牙28-32颗(智齿的数目0-4),通常6岁前后开始长出。
 
12-13岁长齐28颗(智齿因人而异),那么换牙期通常是在宝宝6-12岁期间。
 

       宝宝正常的乳恒牙替换一般按照一定的规律进行:通常从下前牙开始,四颗下前牙全部替换完毕后,上前牙才会萌出。
 
       换牙的顺序简单来讲可概括为:先下后上、左右对称。
 
       “双排牙”的出现就是当儿童的恒牙已经萌出时,而对应的乳牙却并未脱落,从而形成两排牙齿,出现的这种现象,就叫做乳牙滞留,俗称“双排牙”。

 



 
       其实,形成双排牙的原因通常有两种:一种是因为我们的饮食结构发生了变化,咀嚼的食物过于精细,很少能在饭桌上见到粗粮,小朋友也不愿意吃硬食。
 
       这样就导致没有足够的力量经牙齿传递到颌骨,导致面部骨骼得不到刺激发育不良。
 
       并且颌骨里藏着的恒牙胚得不到刺激,没有移动到乳牙的正下方,乳牙牙根也得不到足够的刺激而吸收不足。
 


       另一种原因是因为乳牙得了病,牙齿和周围的组织粘连,使乳牙不容易脱落。这种情况发生较少,多发生于后面的大牙。

 
       在换牙期间,正常情况下,儿童的乳牙要在恒牙生长的内部压力和外力作用的“协助”下掉落,一旦乳牙没有正常脱落,那么儿童的换牙“程序”就会出现错误。

       由于正常的生长空间不足,恒牙会顶着大于一个乳牙甚至两个乳牙的阻力,从旁边阻力较小的地方生长出来,导致两颗牙在并排“工作”,就形成了双排牙。

 

 
       有些家长朋友也会担心,出现双排牙以后,孩子的牙齿会长不齐吗?
 
       实际上,很多研究显示在舌头和嘴唇的塑形作用下,95%的恒牙可能回归原位。
 
       但是是否整齐就要看原来的乳牙有没有给他们留足够的空间了(即便空间不够恒牙也会向小空隙中移动,但是会扭转错位)。
 
       双排牙更常见的问题是两颗牙中间会“夹带私货”,由于清洁不佳而导致牙龈炎或蛀牙。

 

 
       那么,孩子出现双排牙应该怎么办呢?

       发现了“双排牙”,应先找医生检查前面的乳牙是否有松动,是否因为松动出现溃疡或影响吃饭,口腔卫生状况是否良好,小朋友状态是否适合拔牙,再决定是观察1~2周还是直接进行拔牙。
 

 
       如果乳牙并未松动,那么可以让孩子们多吃点硬的食物。

       如,吃苹果不要切块儿,吃未研磨的熟制豆类食品(大豆、黄豆)和牛肉干等。没事儿就多摇摇乳牙,不要拖得太久,以免影响牙齿的排齐。

       若此时乳牙还是没有脱落的迹象,就需要带孩子去正规的口腔医院做齿科检查了,耽误不得,因为一口好牙,会直接或间接地影响孩子的一生!

       做好提前的预防,可以很大程度地避免一件事的发生。同样,如果我们能够为孩子做好双排牙的的预防,那么他们岂不是可以更好地成长!
 

 
       所以,预防干货来了,请查收。
 
       日常需要给孩子吃一些耐咀嚼的食物,促进颌骨发育,只有颌骨发育,才能有恒牙生长的空间。
  
       注意口腔卫生,早晚刷牙,清洁口腔,至少每三个月做一次口腔检查。若有异常,早发现,早调整,早治疗才是最重要的良方。
 
       注意饮食习惯与营养,良好的饮食习惯与充足的营养才能为宝宝牙齿的正常生长提供足够的“后备能源”,从而有正常生长的基础,也能够避免牙病的产生。
 

 
       爱护孩子,不仅仅是精神和行动上的关爱,若能配合科学的育儿方法,在这种环境下,孩子一定能够健康茁壮地成长。
 

 
       那么,毋庸置疑,当自家的宝宝出现双排牙这种情况时,及时的诊断和治疗会起到至关重要的作用。
同时,选择一家有资历、实力强的专业医疗机构其实就已经成功了一半。

       天津海德堡联合口腔医院,拥有多名在津知名的齿科专家和德国先进的数字化诊疗技术,为宝宝牙齿的茁壮成长“保驾护航”!
 
       其中,笑起来像花儿一样的田甜医生,就是儿童牙齿诊疗的专家之一。

 

       从业多年,田甜医生有着丰富的儿童牙科诊疗经验,深受小朋友的喜爱,每次小朋友见到她,都会亲切叫她一声“田甜阿姨”。
 
       她的游戏化诊疗方法,让小朋友在愉悦快乐中就完成了治疗,有时她还会放一些孩子喜欢的动画片,一两集动画片放完,孩子的治疗也结束了,丝毫不会感到害怕和恐惧。

 

       以至于之后来复查,完全不用担心孩子不愿意来,因为有“田甜阿姨”在这里等着他们“做游戏”“看动画”。
 
       当然我们可爱而专业的儿牙医生肯定不止一个,另一位便是有着温柔性格,深谙儿童心理学的吴建欢医生。

 
       海德堡联合口腔吴建欢医生,是中华口腔学会(CSA)的专业会员,同时也是儿童口腔医学会(CSPD)的会员,擅长龋齿预防、龋齿填充、根管治疗等,拥有多年的儿童口腔诊疗经验。
 
       作为儿童牙科的诊疗专家,面对拥有各种各样性格的孩子,吴医生有着自己的一套沟通方法。
 
       与小朋友交流时,她亲切的话语总是能润物细无声地渗透进孩子的内心,安抚他们紧张与不安的心灵,从而引导他们配合诊断与治疗,让小朋友今后对看牙不再充满恐惧。

 

 
       一个人的总体实力,由软实力加硬实力组成,一家医院,同样如此。
 
       海德堡联合口腔,除了拥有德国先进的技术理念和专家团体,还有西方精密的医疗设备,现在,拥有这样的配置的医院,就在我们身边!

       最后,海德堡温馨地提示家长朋友: 对待宝宝,多点耐心,多观察,早预防,牙齿出现问题,一定要早治疗,否则影响的,将是孩子的一生,这也是我们所不愿看到的!
 
 
 
 

TEL / 022-58969998