天津市海德堡联合口腔医院

重新定义德国种植牙标准 | UNIC全息数字化智能种植

接诊时间:08:00-17:30

预约咨询热线:022-58969998

首页 > 聚焦海德堡 >

13/08/2020

NEWS
真实故事 | 舍不得给自己花钱的老人,到底应不应该种牙?

 

你知道,你父母的钱,都多花到哪里去了?
 
最近有一份老年消费调查问卷显示,在接受调查的2096位老人日常花费中,30.74%花在日常开支,23.51%补贴儿女,只有3.3%用在了自己的休闲生活上。
 
穷养自己富养儿孙,变成了大多数中国父母的真实写照。
 
但比这个数据更让我们觉得不忍心的是每一个不愿意给自己花钱的老人背后,藏着的是一个在忽略自己的健康的老人。
 

 
海德堡联合口腔医院「真实故事计划」,
我们将采访100位海德堡医院的真实患者,
没脚本、不煽情、只记录,
和他们聊一聊他们的故事。
 

 
阿姨退休前是一个外科医生,
常年的劳累让她忽略了自己的牙齿健康。
 
看牙看了20年,
从最开始的一颗两颗缺失,
到后来的严重缺失到完全吃不了东西。
最后来到了海德堡联合口腔,
一起来听听她的故事吧!
 
和很多老人一样,阿姨也对付过。
一对付就对付了20年。
后槽牙掉了就掉了,用前面的凑合凑合,就是吃的慢一点。
前面的牙掉了带活动假牙吧,便宜方便大家都这么做,让自己好看一点就行。


 
这么对付了20年,牙齿越对付越坏,吃一口豆包牙齿都能被粘下来,吃东西只能靠吞,消化越来越不好,身体也跟着越来越差。
说实话,阿姨还是想对付的。
但是孩子们看到了她吃饭的样子,带着她跑医院、了解种植牙,最后在海德堡联合口腔找到了很多年前就给他们家人做过牙齿的李雪松院长。




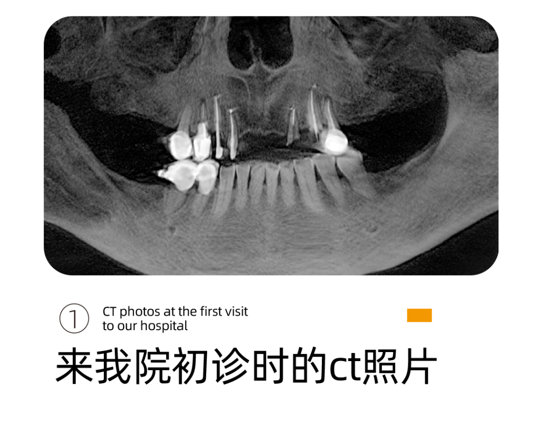
这是阿姨来找李雪松院长看牙最开始的样子。

不是这样的图片,我们都没有办法理解这样的口腔情况对一个老人来说意味着什么。阿姨说的吃东西靠吞不是被夸大的感受,而是她每天的日常。

  

阿姨怕疼,在看完诊后一直在问医生疼不疼。

针对阿姨的情况,李雪松院长为阿姨指定全套的数字化种植方案。
 


什么是UNIC数字化种植方案呢?
其实就是借助Sirona CBCT全景影像信息和相关修复信息为基础,借助数字化专业种植设计软件进行术前诊断和种植方案规划。



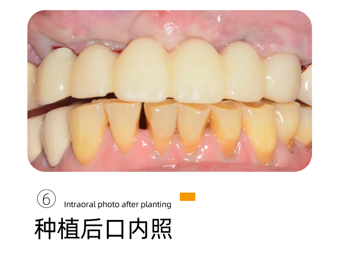
下牙种植完成后,阿姨的感受很好,基本没有疼痛感只有稍微的不适应,重新找回的牙齿让阿姨多了很多生活的幸福。
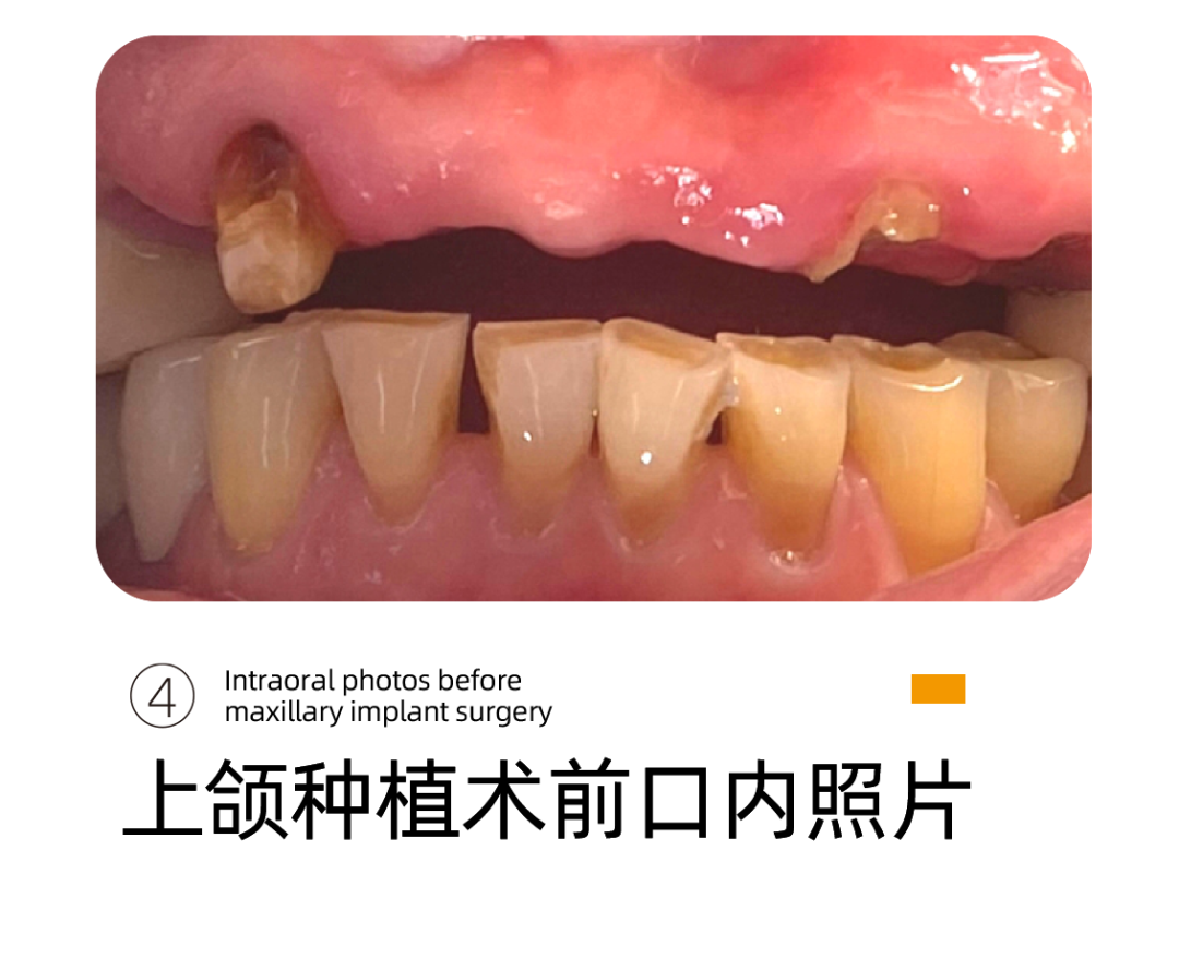
在李雪松医生的建议下,阿姨开始准备做上牙齿的种植。阿姨的上颌牙基本上已经彻底失去了牙齿功能。
这是上颌种植前,阿姨的牙齿状况。
 


UNIC种植体系完美打造专属于患者的“私人订制”完整种植闭环,数字化微创种植结合数字化椅旁修复方式,真正实现当天种植、当天戴牙,其中最大的优点就是可以在术中减少患者的痛苦,提高患者的舒适感。
 


李雪松院长通过德国数字化口腔扫描设备获取的口内数据完全拟合设计,告别传统种植手术中通过大翻瓣暴露手术区域以及解剖结构的方式,缩短就诊以及手术时间,大幅度降低患者术中的疼痛感。
当天,阿姨就带上了牙 ,恢复了咀嚼的功能。
  




通过数字化种植手术导向模板,将术前制订的种植方案准确应用于种植手术和即刻修复的全过程,实现以修复为导向的牙种植修复。



换句话说,运用数字化种植技术就是让所有种植操作可以直观得看到,并且能够看得懂。
它的优势在于种植医生借助数字化设备可以真正实现以修复为导向的种植理念,并且实际运用到临床操作中,实现微创种植,不翻瓣,将创口降到最低。

全数字化导板设计会依靠自身数字化的精确定位和微创特点,大大减少失误操作,提高种植手术的精准度。
精准、高效、微创性瞬间提升,伤口更小,出血更少,恢复的更快更好。


 
阿姨自己说,看牙看了20年,医生的技术我是感觉得到的。
细致又专业,在手术的过程中注重交流,注重细节,”手很轻“。种植当天就可以吃东西,找回了久违的幸福。



聊到情深出,阿姨说了到已经过世的叔叔,后悔在他在的时候,好好的照顾他的牙齿,让他好好吃饭。
现在谈起来,就只能成为遗憾了。
 

阿姨在采访的最后,说了一句让人动容的话。
“千万别钱存的越来越多,病也攒的越来越多,人老了,真的要好好对待自己的牙齿,吃进去的每一口就幸福。”  

他们是别人,
但也可能是我们的父母。
 
海德堡联合口腔「真实故事计划」,
邀你和我们一起,
听他们说他们的故事。
 
 

TEL / 022-58969998