天津市海德堡联合口腔医院

重新定义德国种植牙标准 | UNIC全息数字化智能种植

接诊时间:08:00-17:30

预约咨询热线:022-58969998

首页 > 海德堡公益 >

26/12/2019

NEWS
看牙为什么要拍牙片?不拍不行吗?

       “我就那颗坏牙疼,不用拍牙片,直接给我拔了就行。”

       “怎么又拍牙片?我一个月前才拍过,用之前的牙片不就行了。”

       “孩子那么小不能拍牙片的,辐射太大对孩子生长发育不好。”……

         不怕得罪人地说,很多人面对拍牙片或多或少都有一些顾虑,一来觉得牙片没用,二来觉得辐射大对身体不好。事实真是那样吗?

       

       事实上,牙片是牙医的第三双眼睛。一直以为自己就长了三颗智齿呢,直到左侧6号牙坏了,拍了个牙片才知道,原来第四颗智齿长不出来了,但它一直都在。

       

       近中阻生智齿,也就是图中1、2两颗横着向牙列方向长的智齿,非常容易将邻近的牙“顶坏”,所以不得不将这两颗牙拔掉。像智齿这样的下颌槽牙的牙根离面部神经非常近,一不小心就可能伤到神经,导致面部没有知觉。而牙片可以清晰地看到牙根与神经的距离,确定拔牙是不是有风险,这也是为什么拔牙都要拍牙片的原因。这口牙只能用“出车祸”来形容了。本以为下颌大牙先天性缺失,不曾想是牙胚的生长方向错了,大牙长不出来。
 
       

       以上仅仅是列举了茫茫牙片中几个微不足道的例子,但足以说明牙片的重要性。隐藏在牙龈下方的疾病,医生光凭肉眼是无法看到的,不对症,如何用药?即使是拔除一颗坏牙,也要确定会不会伤害到下颌面部神经。由此可见,牙片是牙医的“第三只眼睛”,能看见肉眼看不到的病灶。
 
       

       牙片不同所起到的作用也会有所不同:

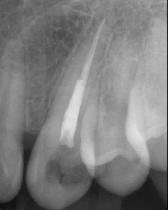
       ①小牙片:顾名思义,这种牙片很小,只能显示牙齿局部,但它能将局部放大,更加清晰地看到牙齿情况。根管治疗中,医生常需要小牙片辅助判断牙齿疼痛的原因。

       

       ②曲面断层或者CBCT:曲面断层多用于检查口腔整体状况,例如种植手术前查看牙槽骨骨量、下颌神经位置以及确定种植方案。
 
       CBCT是曲面断层的升级版牙片,它将牙片从二维变成了三维,那它的优点有哪些呢?

       

       ①首先是高度还原口内硬组织情况,在三维角度更加清晰地显示牙齿、牙槽骨、上颌窦、下颌神经的位置及高度。医生可360度旋转查看口腔状况,不遗漏任何一个可能成为疾病的病灶。

       

       ②头颅正侧拉片:这种牙片主要用于正畸,便于医生从正、侧角度观察牙齿情况。

       对牙片的忌惮更多来源于“辐射”,根据国际放射防护委员会的推荐,一般人辐射限值为每人每年不得超过5毫西弗(mSv)也就是5000微西弗(μSv))。拍一次牙片的辐射剂量最小5微西弗,最大120微西弗,也就是说一年要拍约42-1000张牙片才能达到限值。每次拍摄牙片,工作人员都会为患者穿上铅衣,减少辐射。但是有两类特殊人群需要注意:第一类是孕妇,第二类是儿童。

       

       怀孕的最初三个月,不主张孕妇拍牙片,因为此阶段胎儿较敏感。三个月过后,不得不拍牙片时,应给孕妇腹穿上铅制的防护衣或防护裙,防止射线照射腹部。

       

       儿童处于快速生长发育阶段,性腺素分泌旺盛,骨骼稚嫩易受射线影响,拍摄时需穿防护铅衣。拍摄牙片并没有传言中那么“邪乎”,人体每天都接受来自大自然的辐射,就算吃根香蕉都有辐射。想要找到牙病的真正原因,牙片是必须要拍的,因为辐射剂量在一定范围内就不会对人体造成伤害,况且拍牙片还有防护铅衣呢。
 
 
 
 
 
 
 
 

TEL / 022-58969998