天津市海德堡联合口腔医院

重新定义德国种植牙标准 | UNIC全息数字化智能种植

接诊时间:08:00-17:30

预约咨询热线:022-58969998

首页 > 海德堡公益 >

15/10/2020

NEWS
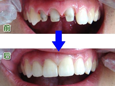
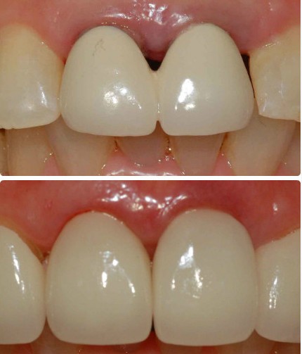
天津种植牙医院专家告诉你,烤瓷牙的平均寿命是多久
       烤瓷牙的平均寿命是多长?海德堡口腔专家表示,目前烤瓷牙的平均寿命为8-10年。       

       有些口腔医院承诺说烤瓷牙可以“终生使用”,“这是不可能的”!海德堡口腔专家讲解,烤瓷牙的保修与义齿加工厂有直接关系,烤瓷牙出厂后都有加工厂的产品证明及质量保证卡,上面有患者的名字、保修期限及定制产品的编号,产品编号是供患者和医生查询烤瓷牙制品的真伪的。       

       所以患者镶牙后必须向医院索要生产厂家提供的产品质量保证卡。如果是选择贵金属烤瓷牙,还应该有金属成分及含量验证卡。 


     

       其实,烤瓷牙的使用寿命取决于诸多因素:除医师的水平外,设计是否合理,技工操作水平,患者的使用因素等。临床上烤瓷牙常出现的问题主要分为两类:一是崩瓷(尤其多见于后牙,崩瓷后主要影响美观,对咀嚼功能影响不大),二是不同原因引起的基牙损害,导致因医治需要而拆除烤瓷牙。
       
       决定烤瓷牙使用寿命的并不单纯是医生因素或烤瓷牙本身的客观因素,患者的口腔卫生保健意识同样重要。
      

 

       目前从全世界的范围来看,烤瓷牙的平均寿命为8~10年,所以消费者一定要理性对待安装烤瓷牙这件事情,不要仅仅为了追求美观去做烤瓷牙,要知道它不是完全的美容术,而是带有医治的性质。

       海德堡口腔医院拥有强大的口腔专家阵容!院内坐诊医生技术水平高超,同时还引进优秀口腔高科技专业技术人才,积极开展多地口腔医疗合作,让广大患者享受先进的口腔医疗服务。我院在国内我们目前设置诊室29个,手术室4个,德国进口牙椅33台。引进德国智能数字化设备,拥有数字化信息采集中心,全息数字化种植方案设计中心,云数据3D打印中心,一体化CAD/CAM义齿制作中心,全息数字化正畸设计中心,远程会诊中心,提供一站式的口腔解决方案。同时
资深口腔专家常年坐诊,为患者提供国内高端的医疗服务水平。       

TEL / 022-58969998