天津市海德堡联合口腔医院

重新定义德国种植牙标准 | UNIC全息数字化智能种植

接诊时间:08:00-17:30

预约咨询热线:022-58969998

首页 > 海德堡公益 >

12/10/2020

NEWS
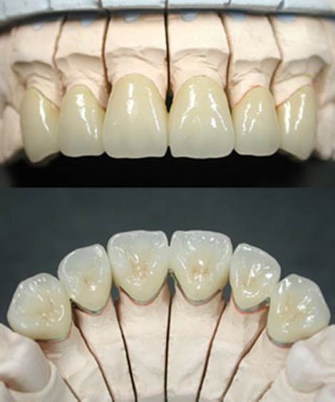
天津烤瓷牙多少钱,天津烤瓷牙价格表
       随着生活水平的提高,人们对于美的要求也越来越高,烤瓷牙也因为其强大的优势,成为爱美人士牙齿美白的新宠。烤瓷牙多少钱?下面小编告诉你烤瓷牙价格表吧! 

       现在的烤瓷牙技术已经相当成熟,通过做烤瓷牙,我们能够拥有一口美丽洁白的牙齿,但是市面上烤瓷牙的种类非常繁多,而且其价格也有着天壤之别。那么一般烤瓷牙多少钱呢?  


 
       烤瓷牙多少钱 烤瓷牙价格表 

       烤瓷牙价格表,一颗烤瓷牙500元左右到1000元左右不等,同样是烤瓷牙,价格差别却如此之大,那么如何选择就成了我们特别需要考虑的地方,下面我们就对影响烤瓷牙价格的因素等进行一下盘点。 

       材料工艺不同,价格不同 

       烤瓷牙的材料工艺因素很大程度上影响烤瓷牙的价格,烤瓷牙的材料的种类非常多,而且有国产和进口之分,价格差异也很悬殊。所以瓷烤瓷牙的价格也会不同,求美者可根据自己牙齿的特征和经济能力,选择最适合自己的烤瓷牙。 

       制作不同,价格不同 

       烤瓷牙的制作过程也是其价格的一大影响因素。烤瓷牙就是指全瓷制作,完全不用金属基底,其层次、色泽最接近于真牙。烤瓷牙对牙龈无刺激性,对光线的反射更接近天生牙,拥有绝佳的光学性质,极好的生物相容性。不同的制作方法导致烤瓷牙价格也不一样。 

 

       医院等级不同,价格不同 

       烤瓷牙的价格还受医院等级所影响。每家医院的设备和技术、材料都会有所区别,而正规知名的医院做出的烤瓷牙效果要更好。所以烤瓷牙的价格自然就贵一点,不过比普通医院贵不了多少,而且还能保证全瓷烤瓷牙的效果和口腔的安全。 

       烤瓷牙价格表,烤瓷牙的价格因为地域消费水平不同,材质不同差价相当大。 

       镍铬烤瓷冠300-800 

       钴铬烤瓷冠500-1500 

       纯钛烤瓷冠1000-2000 

       金瓷冠3000-6000 

       二氧化锆冠 3000-10000 

       一般没有材质上的区别,主要是医生制备和技工的水平界定了差价。

 
       海德堡联合口腔提醒您:选择烤瓷牙的时候要选择适合自己,根据自己的口腔情况和经济条件来选择,适合自己的才能达到理想的效果。关于“烤瓷牙的费用”就为您介绍到这里了。如还有其他疑问,您可以点击搜索天津海德堡德联合口腔或者拨打海德堡联合口腔热线5896-9998联系我们。我们会为您一一解答。

TEL / 022-58969998