天津市海德堡联合口腔医院

重新定义德国种植牙标准 | UNIC全息数字化智能种植

接诊时间:08:00-17:30

预约咨询热线:022-58969998

首页 > 海德堡公益 >

06/10/2020

NEWS
嵌体,比补牙更好的选择
      你了解嵌体补牙方法吗?下面跟随海德堡口腔小编来了解一下吧! 
   
      牙齿是人体上最坚硬的组织,他不像我们身体上其他的组织,如果坏了,可以自行修复。牙齿坏掉了,如果不及时把坏的地方修补上的话,牙齿不会自行愈合的。时间长了一定会坏到牙齿的神经,一定会让你痛的睡不着觉。   

       那么牙齿坏了,怎么补? 

       传统的补牙方法就是把蛀的部分磨掉,然后再补上材料,最后进行抛光。 

       传统方法方便快捷,能一次完成,但在由于因为传统的补牙是在口内一次性完成的,整个的操作过程受到口腔唾液,以及医生在口腔内操作空间太小等等一些客观的,并且很难避免的因素的影响,最终使得补上去牙齿寿命不长,很可能引发脱落和继发龋。而且像那种面积较大的龋坏和特殊部位的龋坏进行补牙也不耐用。 


       
       现在就有另外一种补牙方法--嵌体。想要将来不种牙,就可以选择嵌体补牙! 

       这项治疗技术其实历史也很久远,在欧美以及日本等国家比较常见。但是在中国因为一些具有中国特色的因素影响,没能在临床上广泛的推广。近些年,随着人们生活水平的提高,以及对口腔保健意识的提高,嵌体渐渐在临床的治疗中普遍开来。同时使用过嵌体的患者,他们也渐渐认识到了嵌体对牙齿硬组织的保留上显现出来它独特的优势。 

       嵌体和传统的补牙不同之处是:嵌体是在口外石膏模型上由专门的牙科技师制作出来的,然后再由临床医生将其戴入患者口内,最终粘固形成的 

       嵌体的优点: 

1、嵌体的整个的制作过程中完全避免了在口腔内部操作的干扰因素。这就使得嵌体的制作比传统的补牙要更精细。技师在制作嵌体的时候,会控制它与牙体的弥合程度,这样就尽可能的避免了牙齿在日后的使用中再次出现龋坏。 



2、因为它的整个制作过程是在口外完成的,所以它还可以很好的恢复原来牙齿的外形,恢复原来牙齿的咀嚼效率。而这一点,是传统补牙无论如何都无法比拟的。 

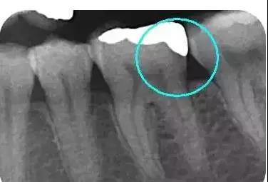
       从下面这张X线中可以看出,嵌体远中边缘没有悬突,与牙体边缘密合相接。   

       这些嵌体,在最终戴如患者口内的时候,真是的非常的完美。在使用上没有任何的影响和不适,而且坚固耐用。

       做嵌体修复的时候,好的材质也对嵌体的修复效果产生影响。

TEL / 022-58969998