天津市海德堡联合口腔医院

重新定义德国种植牙标准 | UNIC全息数字化智能种植

接诊时间:08:00-17:30

预约咨询热线:022-58969998

首页 > 海德堡公益 >

26/09/2020

NEWS
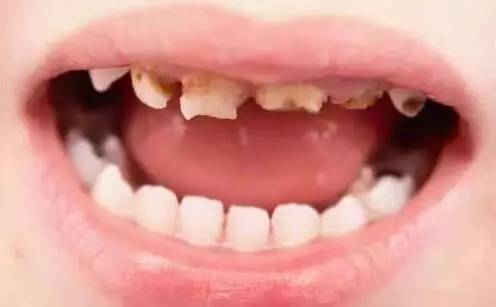
有了龋齿必须得补牙吗?
       很多小孩都有龋齿,龋齿对口腔健康的影响是巨大的,如果不及时治疗,就会让龋齿加重,很多人都知道,补牙是治疗补牙的有效方式之一,那么,有了龋齿是否一定要进行补牙呢?  

       如果龋齿仍只是对牙齿浅表的蛀蚀,只需要直接使用牙齿黄金就可以修复和保护牙釉质继续流失,就可以有效避免龋齿继续发展和恶化了;如果已经形成了较大的蛀洞,单靠修复护理已经无法令蛀洞复原,这时候应该选择正规医院及时进行补牙,补牙后注意改善口腔酸环境,可保被补龋齿在较长时间内(2~3年)不会恶化。
  



       牙冠蛀蚀已经非常严重,牙髓已经外露,补无可补的时候,就要考虑做根管治疗和镶牙了。镶牙有镶活动牙或固定牙两种,如果已经无法在原牙上镶固定牙,就还要牺牲旁边的好牙作为镶牙固定桥。  

       龋齿的最有效治疗,实际上是对口腔酸浓度的控制,而任何试图通过化学反应来降低口腔酸浓度的办法和产品,都不是安全有效的产品。人的唾液是中和口腔酸浓度的“天然调节器”,也不会改变口腔中消化菌群赖以生存的环境,因此,是最可行的龋齿治疗方法。而牙齿黄金的防蛀原理,正是基于这一最先进的理论。  



       而目前现在多数牙医对龋齿的治疗都热衷于如何补救,因为他们所受到的教育和经验,根本没有将龋齿防治的重点放在龋齿如何形成及避免的研究,而将重点放在假定龋齿已经出现后如何“亡羊补牢”的各种龋齿修补技能上来。以上两种龋齿治疗的思路,孰优孰劣,大家可以自己判断。  

       目前,补牙的确是修复龋齿的有效方式之一,如果龋齿很严重的话,大家不妨到大型的医疗机构,请医生为我们制定一套治疗方案,然后再作进一步的补牙工作,这样才能让自己拥有完美整齐的牙齿。

TEL / 022-58969998