天津市海德堡联合口腔医院

重新定义德国种植牙标准 | UNIC全息数字化智能种植

接诊时间:08:00-17:30

预约咨询热线:022-58969998

首页 > 海德堡公益 >

22/09/2020

NEWS
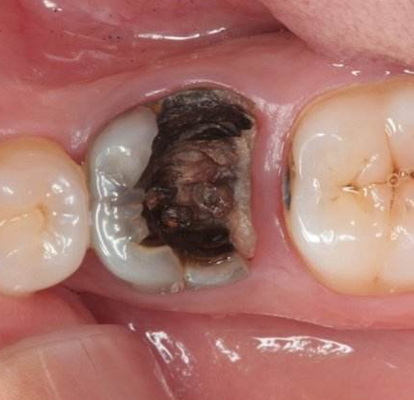
海德堡专家谈根管治疗术是怎么回事
       龋病是口腔医学中最常见的疾病,如果不作及时和有效的治疗,逐渐发展为牙髓病和根尖周病,最终将导致牙体组织的严重缺损,成为残冠残根牙。此时,牙齿的美观和功能都受到明显的影响。  

       近年来,随着人民生活条件的改善,对牙齿的美容和功能的要求也日益提高,多数患者要求尽量保留患牙,即使是残冠残根牙,也不例外。研究发现,无牙区的牙醋骨吸收程度明显大于有牙区,故有“哪里有牙根,哪里就有牙醋骨”的说法。牙醋骨的高度对维持整个牙颌系统的正常以及假牙修复的效果,具有重要的意义。所以,口腔中仅剩下一、二颗可以保留的牙,也不要轻易拔除。可以利用这一、二颗经过治疗保留下来的残留牙,行覆盖义齿的修复。

 
 
       在众多的保存患牙的治疗方法中,根管治疗术的远期疗效最佳,并且被喻为“高楼大厦”--桩核冠修复的基础。因此,对于残冠残根牙,根管治疗术是唯一可以选择的治疗方法。    

       在生理情况下,随着年龄的增长,继发性牙本质的不断形成,牙髓腔逐渐变小,使根管变细;牙髓再矿化增强,牙髓出现弥温性矿化和髓石而堵塞根管。人口的老龄化以及人们健康意识的增强和修复的需要,弯曲、细小、堵塞根和病例也在不断增加。这些根管的治疗术与常规的相比,难度更大,需要配备一些特殊的设备和器械,如超声仪、镍钛合金锉等。另外,还需采用新的治疗技术,如逐步后退法、逐步深入法等。在临床上,由于开展了残冠残根牙以及弯曲、细小、堵塞根管的根管治疗术,使原来一些必须拔除的患牙得到了保留,收到良好的社会效益。   

       根管治疗术的过程是医生用根管治疗专用的器械通过彻底去除感染的牙髓以及感染的牙本质和毒性分解产物,严密填塞根管,隔绝细菌进入根管再感染,防止根尖周病变的发生或促进根尖周病的愈合。完善的根管治疗才能确保治愈患牙,达到尽量保存患牙行使嚼咀功能。  



       根管治疗术通常包括三个基本步骤:根管预备、根管消毒、根管充填。  

       在根管治疗过程中,医生常常要求患牙在根管治疗术前,术中和术后分别拍X线片,以帮助诊断,了解髓室的位置和根管数目及形态,测量根管工作长度及日后随访和评价疗效提供对比的依据。   

       根管治疗术并非都是一次完成治疗,医生往往根据患者临床检查情况,分步分次进行治疗,一般来说,根管治疗要分2-4次就诊才能完成。由于根管治疗术较繁杂,尤其后牙所处于口腔位置以及根管数目多且形态较复杂,要求医生必须熟悉牙体结构的解剖知识及熟练操作技术,同时需要专用配套的根管治疗器械及设备和材料,因而,后牙根管治疗术较费时且费用相对较高些。  
   


       近几年来由于引进自动化根管预备设备及其配套技术进行根管预备,尤其超声根管预备技术和根管手机驱动扩大器械的预备技术,节省时间提高效率和减轻术者疲劳,后牙根管治疗得到广泛开展。   

       根管治疗期间或完成后可能出现短暂不适,通常服用消炎或止痛药可缓解,局部出现肿痛应告知医生处理,牙齿治疗后脆性较大最好行套冠修复,防止牙齿折裂,延长牙齿的寿命。

TEL / 022-58969998