重新定义德国种植牙标准 | UNIC全息数字化智能种植
接诊时间:08:00-17:30
预约咨询热线:022-58969998
20/07/2020
NEWS
作为“外貌协会”的国家,韩国对于美的标准非常严格。
从韩流idol到职场人士,甚至是家庭主妇,无论男女都时刻穿着得体,保持着精致的妆发。
他们不仅要求看起来美,对于牙齿也有着精准的要求。
今天我们就给大家介绍的这位医生就是一位来自韩国的正畸、种植医生——曹时铉医生,听听他和中国患者之间的故事!


1993年,曹时铉医生从釜山考上了韩国延世大学。这个消息让全家人都激动不已。
在韩国一个普通家庭的孩子考上延世大学是一个什么样的概念呢?
不夸张的说,这相当于你在中国从一个四线城市考上了清华!

韩国是世界上受教育程度最高的国家之一,25-34岁的韩国人中,98%的人口具有大学专科或本科学历。
对于一个普通家庭出身的学生来说,考上一所好大学难于登天。
在韩国人的眼里,所谓的好大学,就是韩国的三所顶尖大学——首尔大学、高丽大学和延世大学。
这三大名校的英文首字母排列起来,刚好是“SKY”(天空)。

“天空”被视为哈佛、耶鲁或是牛津、剑桥一般的存在。只要能进入这三所学校,就是好工作、好未来的保证。
在韩国,这三所名牌大学几乎垄断了所有高阶层职位和社会资源。
曹医生从釜山考进了全国排名前三的学府,所有人都夸他幸运。
但只有他自己知道,这背后,是普通人看不见的坚持和努力。

釜山是小地方,大家对牙齿健康的不重视和韩国独特的饮食文化,曹医生从小看到了太多人因为牙齿问题遭受到的痛苦。
于是纠结再三,他决定成为一位牙医,进入韩国延世大学攻读颌面外科专业。
这一做就是27年。

韩国除了高考难,韩国人还特别爱美。精心的收拾自己对他们来说是一种礼仪。
说起韩国大家常见的想法就是他们的整容技术非常的厉害,但大家不知道的是,其实正畸才是变美的第一步。

27年来他见证了正畸矫正行业的发展与变革,每一次新的项目、新的技术出现,他永远是第一批去学习的人。
这些证书背后更多的是他自己关于这个职业的自豪感。

图左加利福尼亚大学旧金山分校正畸科主任和曹医生的合影,可以说是全世界最顶级的正畸专家。
图右3m 黄金舌侧矫治器发明者,开创了矫正器发展的新时代。
丰富案例的积累和行业里二十年如一日的坚持让他在国内国外都开始小有名气。


6年前,曹医生因为一次学术交流来到了中国,就是这一次到来,让他和中国结下了不解的缘分。
作为正畸医生,他看到了中国患者对正畸的需求,大量疑难正畸案例让他心动了。
他觉得自己也许可以做些什么,于是他选择留了下来。
那个时候,国内的正畸技术还不成熟,而曹医生在美学正畸方面独特的技术,解决了在当时因为技术问题没有办法处理的正畸难题。

他擅长生物力学矫正,能够大大缩短矫正时长,减轻矫正痛苦。
舌侧隐形矫正是矫正领域中技术最为复杂的一种矫正方式,可以完全实现隐形矫正。同时,他还是国内少有的能做正颌手术资质的医生。

对于疑难矫正病例,他可以通过颌面美学标准进行私人定制矫正方案,可将多种矫正方式结合治疗,COMBI混合式矫正使矫正效果更加明显。



矫正前,这位女患者觉得自己的嘴突和侧面型都不好看,不能自然闭合嘴唇,可是不想做正颌手术。
面诊检查后,综合考虑为她设计的治疗方案为拔除4颗正畸牙,最大合理化调整牙齿突度。

经过两年多的矫正正颌,无论是从正面还是侧面,都可以看到患者的嘴突明显内收了,闭嘴状态的颏部不再紧绷,面下1/3的线条更加柔和、牙齿不齐、咬合差等问题也一次解决了。
这个骨性伴牙性双颌前突伴开(牙合)的效果,让患者和医生都很满意。


矫正前,患者母亲带着患者去过很多医院看过,给出的方案都是拔除。
患者母亲有点舍不得那颗“牙”,后经人介绍找到了曹医生。
面诊检查后,综合考虑到虽然患者23号牙完全包埋在上颌骨里,但是孩子年纪还小,而且23号牙对于面形影响较大因决定尝试保留牵出。

因患者母亲要求尽量不动牙齿,又因患者还在生长发育过程当中而且面形无前突症状,所以在制定治疗计划时只做23牵出简单排齐不做过度干预。
经过两年多的矫正,患者的23号牙齿牵出至原位置,再不损伤自己的牙齿的情况下,通过矫正完成牵引。

、
14岁女孩地包天,牙齿磨短了,对自己很不自信。
面诊时通过X光诊断骨骼发育无异常,只是覆合覆盖颠倒,也无需拔牙,调整覆合覆盖即可。



曹医生的各项方面都比较均衡,因此他出的治疗方案也是比较全面的。
他在给患者出治疗方案时,除了针对患者的要求外还会给患者其他方面的建议,会出一个综合性的方案。

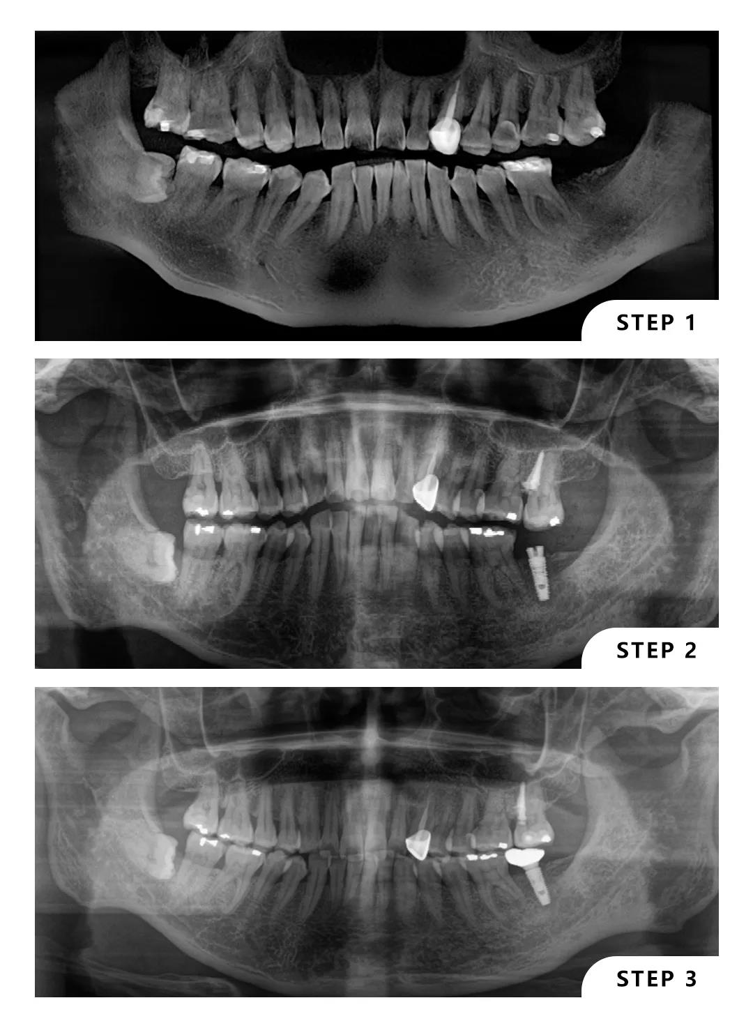
这位患者左下7缺失,左上7伸长,患者本人可以接受种植,但不接受磨牙。
曹医生在面诊后给出了左上7向上牵引,左下7种植的方案,经过一年的努力,患者对效果很满意。
从正畸到种植,曹医生擅长通过综合的方案运用微创种植能够以最小的创伤最快的速度给患者解决问题。

作为种植医生,他以患者为核心,多年来一直以帮助患者解决口腔健康为使命,他认真负责的态度及扎实的种植技术广受好评。

人和人之间是有缘分的,人和城市也有。
从韩国到中国,从首尔到天津,跨越483公里到达的缘分在海德堡继续
