天津市海德堡联合口腔医院

重新定义德国种植牙标准 | UNIC全息数字化智能种植

接诊时间:08:00-17:30

预约咨询热线:022-58969998

首页 > 海德堡公益 >

15/06/2020

NEWS
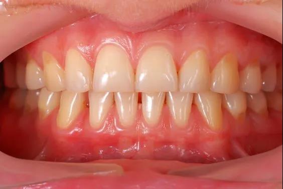
年纪越大牙缝越大,为什么有的老人牙又白又齐?

       不只是掉牙,仿佛随着年纪的增加,牙齿就应该出现各种各样的问题,连牙缝变大都是年纪惹的祸。
 
       事实并非如此。即使是上了年纪,出现牙缝的原因也是多种多样的,年纪对牙齿的影响不能说没有,但也没有平常所说的那么大的影响。
 
       那么牙缝变大的原因到底是什么呢?有哪些危害又该如何解决呢?

       

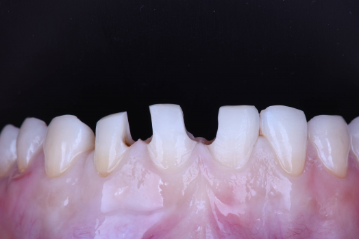
       一、牙龈萎缩

       牙齿与牙齿之间除了牙冠是紧挨着的,由牙龈包裹着的牙齿颈部和牙根并没有挨在一起,是牙龈填满了牙齿之间的缝隙。
 
       当牙龈萎缩之后,缝隙就会露出来,牙齿看起来就有缝隙了。这两个原因会导致牙龈萎缩:
 
       ①不正确的刷牙方式

       长期使用刷毛过硬的牙刷,大力刷牙,不但会损伤牙釉质,还会影响牙龈。过硬的刷毛本身就会刺激牙龈,再加上蛮力刷牙,对牙龈造成的伤害可想而知。
 
       ②口腔卫生环境差,牙结石严重
 
       另外一个造成牙龈退化的原因则是口腔卫生不理想,牙结石严重。过多的牙结石包裹着牙齿颈部并不断地压迫、侵蚀牙龈,逐渐造成牙龈退化。这也是长期不洗牙,牙结石严重的人洗完牙感觉牙缝变大的原因。
 
       选用刷毛软硬适中的牙刷,用正确的刷牙方式轻柔地刷牙,保持干净的口腔卫生,尽可能地刷干净牙齿。遗漏的卫生死角去医院找医生帮忙清理,一年洗一次牙齿,去除牙结石。

       

       二、邻面龋

       邻面龋是蛀牙的一种,指两颗牙齿之间出现龋坏,多由食物残渣清理不干净引起。
 
       “我奶奶一直不刷牙,牙还好好的。”从不少年轻人口中听过这句给自己的懒散找借口、毫无理由的话,一般这些老人的牙齿都会出现问题。
 
       有一种就是严重的邻面龋,几乎全口牙都有龋坏,牙齿看起来发黑、稀疏、不健康。
 
       刷牙!认真刷牙!这真的是一种“懒病”。嘴上说刷牙没必要的人,大部分都是懒得刷牙,即使刷了也是草草了事,牙缝中的食物残渣依然留在那里。正确做法是配合冲牙器、牙线等辅助工具,全方位清理牙齿。

       三、牙周炎
 
       

       牙周炎是侵犯牙龈和牙周组织的慢性炎症,属于一种破坏性的疾病,是导致牙缝变大最常见的原因,多发生在35岁以后。
 
       牙周炎通过破坏牙槽骨,导致牙齿出现松动和移位的情况,使原本排列紧密的牙齿慢慢出现缝隙,随着时间的推移牙缝越来越大。
 
       牙周炎可以通过治疗来控制病情,一旦发现口腔中有口臭、牙龈出血、牙缝变大等异常现象,及时接受检查,确认是否患有牙周炎。
 
       值得注意的是,由牙周炎导致的牙齿缝隙变大,即使牙周病得到控制,牙缝也不会缩小,只能保持现状,所以牙周病发现的越早,治疗越及时越能够止损。
 
       四、食物塞嵌
 
       

       塞牙一般不会被当成疾病对待,每每遇到塞牙的情况,大多数人觉得剔干净就好了,实则不然。
 
       经常性的塞牙会让牙缝越来越大,用牙签剔牙更是会加快牙缝变大的速度。
 
       对待塞牙的正确做法是寻找塞牙的原因,对症治疗;用水牙线或者牙线代替牙签;如果牙缝对面容和心理的影响过大,可以考虑选择牙贴面或烤瓷冠修复牙缝。
 
       牙缝小则塞牙、影响美观;大则说话漏风,咬字不清,影响人际交往和心里健康,不容小觑!
 
       除了先天性的牙齿稀疏导致的牙缝外,那些随着年龄的增长,牙缝不断变大的人,一定是年轻时候爱牙意识不佳,牙齿状况不好,时间久了病情恶化而导致的牙缝。
 
       因此,避免出现牙缝的关键还是认真爱牙护牙,牙线等清理工具用起来,并且定期给牙齿做体检。
 

TEL / 022-58969998